!-->

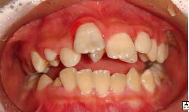
多生牙又名额外牙,多生牙发生于牙弓的任何部位,但大多数位于上中切牙之间或在其腭侧。多生牙的大小和形态可能与它所属的磨牙、前磨牙或前牙组中的牙齿极为相像,也可能与邻近的牙齿外形相差甚远。那么多生牙有没有什么危害呢?

介绍多生牙是从邻近的恒牙蕾的牙板分化出的第三牙蕾发育而来,或可能来源于恒牙蕾自身的分裂。由于多生牙额外增加了牙弓的牙量,所以,经常引起邻牙的错位或阻萌。多发性多生牙中的许多牙齿可能埋伏阻生,多为锁骨颅骨发育不全的牙齿特征表现。由此可见多生牙会给孩子的的健康生活带来极大的影响,所以对于多生牙应该及早拔除,必要时行矫正器辅助矫治。广州拔牙哪家好
广州越秀圣贝口腔门诊部口腔
广州越秀圣贝口腔门诊部口腔采用连锁先进的拔牙设备——笑气治疗系统,该系统强调以降低疼痛敏感性为主、不用或少用物的清醒镇痛方式,达到让顾客在清醒放松的情况下接受牙科治疗,而全无意识麻醉的担忧,全程清醒舒适、全程、心肺脑血管功能全程稳态,克服"牙科恐惧症"的达到100%。实现了舒适看牙、看牙、看牙、快速的目标。
笑气治疗系统的优点:
1、圣贝针对"牙科恐惧症",经过近百年科技传承,不断创新创造的结晶,是世界牙科镇痛镇静发展史的浓缩。
2、是以现代计算机学、麻醉学为依托发展起来的先进,是牙科治疗方式的飞跃和典范。
3、不同于其他牙科,无任何不适、无进针痛、无注射痛的看牙新方式。
4、清醒治疗、消除疼痛,保障、调控和维持机体内环境的稳态上堪称"完美"的先进。

广州越秀圣贝口腔门诊部口腔拥有的、温馨的环境、合理的价格,满意的口碑、成功的治疗案例是你治疗口腔疾病的首要选择,同时医院致力打造“您专属的私人牙医”,这种企划理念彰显了医院专业、权威、、奢华的定位和品质,也可体现医院的综合实力,是您较佳的选择。