!-->

大大小小的咖啡厅如今是很常见的,咖啡就这样成为了人们生活中情趣的一部分。但是长期饮用咖啡会直接导致咖啡牙的产生,那么长期饮用咖啡牙齿黑黄怎么办呢?下面广州越秀圣贝口腔门诊部口腔就来为大家详细介绍。

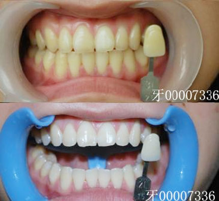
长期饮用咖啡牙齿发黄怎么办
长期饮用咖啡是很多人的生活习惯,但是也正是这样的习惯,使得色素有机可乘,这些色素吸附在这些黏性物质的上面,逐步使牙齿表面变黄或着是变黑。日积月累,这些物质还会从牙齿表面逐渐的深入到牙齿内部,形成内部污渍,使牙齿内部也慢慢变色。表示解决咖啡好的办法就是冷光美白,它针对一般外源性以及内源性轻中度黄黑牙,很有效果的美白牙齿方式。广州冷光美白牙齿要多少钱?
咖啡牙的危害
1.咖啡牙的危害影响外在形象。外因性色素牙求美者一笑就会露出一口外因性色素牙,这会对一个人在外在形象造一般大的影响。
2.咖啡牙的危害影响心理健康。正如我们希望得到周围的人喜欢、尊重和有修养一样,注视一个人的身体外观是人普遍的特性。如果对牙齿不满意,个别求美者可能通过对社会消极反应,或通过损害自己的自尊心来安慰自己。
3.喝咖啡不仅是牙齿变黄,还可能引起色素沉淀,造成色斑,经常喝咖啡对神经也不太好,因此喝咖啡要适度。长期喝咖啡容易导致咖啡牙,牙齿变色一般难看,这种外因性色素牙对外观造成很大的影响,尤其在人际交往中也让人看着不舒服,面试也给对方没有好印象。

牙齿美白——炫彩美白
由广州越秀圣贝口腔门诊部引进炫彩美白,通过特殊的高强度蓝光,有效催化含有感光催化剂的专利美白凝胶,能够很好的解决四环素牙带给您的苦恼,已经经过150多个及地区的牙医对超过200万患者的治疗验证,已成为有效、的牙齿美白系统。
做冷光美白,广州越秀圣贝口腔门诊部是你的较佳选择
广州越秀圣贝口腔门诊部连锁牙科医院现在凭借着,“高科技、高水平的医疗质量,医术与艺术相结合、医患沟通零距离是圣贝客服的终目标;优雅舒适的环境,无菌、就诊的服务是连锁医疗质量标准的基础。”圣贝牙科创新性地在国内实行“8个一”无菌感控制模式:一人一室、一椅一治疗、一医一助、一机一消毒,有效避免了传染性疾病的交叉感染。