!-->

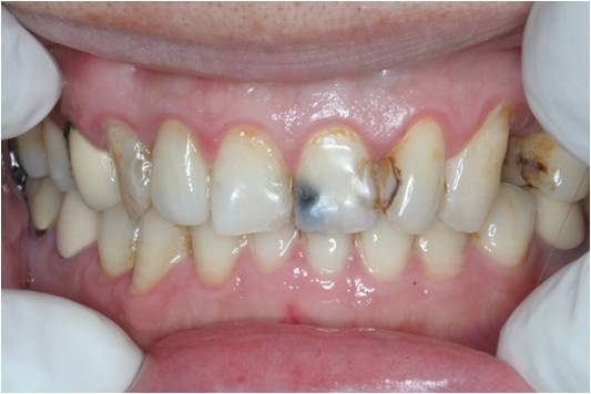
牙齿脱矿也叫脱钙,指人的牙齿牙釉质表面的钙磷脱落,因而使牙齿色泽改变,呈白色或微黄的斑点,影响美观。更严重的,牙釉质脱落,牙齿上有明显的浅凹陷或细沟。一般正常人的牙齿脱矿与再矿化是一个平衡的状态,而严重脱矿的就会影响牙齿健康。那么牙齿脱矿该怎么办呢?

牙齿脱矿的原因有许多,比如缺钙等。牙齿脱矿就会引起牙齿敏感,首先先去做脱敏,然后根据情况进行治疗。一般来说轻度的牙齿脱矿可以采取补充钙及维生素D。而脱矿比较严重的就需要做牙齿修复了。
1、树脂修复。树脂补牙的颜色、密合性、硬度、生物相容性都比较好,修复牙齿美观,对人无害。树脂补牙的优点是有很多,但对的要求较高,不然会出现牙龈肿胀、牙齿脱落的不良影响。
2、烤瓷牙修复。烤瓷牙是时下为流行的一种修复牙齿之一,它的效果显著, 兼有金属全冠的强度和烤瓷全冠的美观,其颜色外观逼真,色泽稳定,表面光滑,耐磨性强,不易变形,抗折力强,具有一定的耐腐蚀性,属“长久性”修复,深受患者和口腔医师的喜欢。
3、瓷贴面修复。瓷贴面是目前连锁上好的牙齿修复方法之一,磨牙较。,修复效果好,美观程度高,可以达到以假乱真的效果,因此受到许多人的追捧。牙齿瓷贴面哪家做的好?
提示,牙齿的面容修复方法都能很快的修复牙齿的缺陷,但是只有到正规专业的医院去做修复,才能保证修复的效果。

广州越秀圣贝口腔门诊部口腔
广州越秀圣贝口腔门诊部口腔是一家连锁医院,在发展中早已组建了一支由德、法、西、葡、以、美、日、韩等国的知名牙科构建的连锁牙医飞行队伍。在中国,圣贝则汇集了来自二、三、四医大以及北京大学口腔医学院、四川大学华西口腔医学院、广州交通大学口腔医学院、中山大学光华口腔医学院、武汉大学口腔医学院等医学院校以及宝岛台湾的众多口腔。在队伍的组建上,圣贝牙科实现了连锁飞行牙医与本土实现无缝对接。圣贝牙科队伍给予广州越秀圣贝口腔门诊部强的品质保障。