!-->

牙齿磨损是指由于单纯机械磨擦作用而造成的牙齿硬组织慢性磨耗,均匀适宜的磨损对牙周组织的健康有重要意义,然而病理性磨损就会给人们的健康带来影响。

牙齿磨损的危害:
1、牙本质过敏症。这种酸痛的症状有时可以在几个月内逐渐减轻而消失;有时可持续更长的时间而不见好转。敏感的程度常因人而异,一般说来磨损的过程愈快,暴露面积愈大,则酸痛越明显。
2、食物嵌塞。咀嚼食物时,因磨损牙冠变短以及邻面磨损都可引起食物嵌塞,并促使牙周病和邻面龋的发生。
3、牙髓和根尖周病变。系由于过度磨损使髓腔暴露所致。
4、颞颌关节紊乱综合征。严重的面磨损可导致颌间垂直距离过短,从而引起颞颌关节病损。
5、创伤。不均匀的磨损能遗留高陡牙尖,从而造成创伤。
6、创伤性溃疡。不均匀磨损遗留的过锐牙尖和边缘能刺激颊、舌粘膜,可引起局部溃疡。
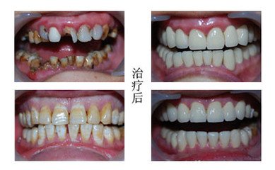
对于牙齿严重磨损该怎么办呢?一般来说只能采用牙齿修复的方法。
1、树脂修复。色泽逼真,恢复牙齿自然外形,色泽尤其逼真、有质感。
2、烤瓷牙修复。烤瓷牙是恢复牙齿缺损及达到功能和美观要求的修复牙冠,需要磨除部分牙齿组织,对牙龈组织有一定的刺激。
3、美容冠修复。美容冠是牙齿美容的一种新型,修复之后美观自然,对人无伤害,是目前好的牙齿修复美容方法。圣贝5D美容冠修复效果好不好
广州越秀圣贝口腔门诊部口腔
广州越秀圣贝口腔门诊部口腔组建了一支由德、法、西、葡、以、美、日、韩等国的知名牙科构建的连锁牙医飞行队伍,实现了连锁飞行牙医与本土的无缝对接,给予广州越秀圣贝口腔门诊部强的品质保障。广州越秀圣贝口腔门诊部口腔拥有的、温馨的环境、合理的价格,满意的口碑、成功的治疗案例是你治疗口腔疾病的首要选择,同时医院致力打造“您专属的私人牙医”,这种企划理念彰显了医院专业、权威、、奢华的定位和品质,也可体现医院的综合实力,是您较佳的选择。