!-->

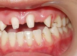
小儿牙本质生长不全综合征又称牙釉质发育不全综合征、棕色牙综合征、凹陷牙等,是一种常染色体显性遗传性疾病。本病征累及乳齿与恒齿,这些表现在出生后长牙时即可出现。牙齿较小,呈半透明状,色泽棕黄或橙黄。质地脆弱,容易折断,但无松动现象。全部或大部分牙齿可逐渐被磨短,甚至与牙龈平而相齐,受累牙齿的牙龈显得很坚硬。局部软组织肿胀但无疼痛和溢脓、出血现象。

1、轻症。釉质形态正常,无实质性缺损,釉质呈白垩色不透明,表面疏松粗糙,有时呈黄褐色。
2、重症。釉质实质性缺损,牙齿表面有带状或窝状的凹陷,变色呈白垩色或黄褐色,严重者无釉质形成或牙冠形态改变或缩小。
3、由全身性因素引起者。由全身性因素造成的釉质发育不全,左右同名牙对称,同时期发育牙同时受累。
由此可见小儿牙本质生长不全综合征对孩子的生长发育和心理健康都有极大的影响,所以家长们应该特别注意。同时此病的治疗方法一般从修补坏牙着手,进而拔除病牙,直至安装满口或部分义齿,因此对于小儿牙本质生长不全综合征应该以预防为主,毕竟严重者可能会导致拔牙。那么该如何预防此病呢?
1、防治钙、磷、维生素A、维生素D、维生素C的缺乏性疾病等。
2、重视母孕期营养,做好各种孕期保健和儿童保健工作,增强体质,防止感染。
3、儿童轻中度釉质发育不全可用含氟儿童牙膏刷牙,可以修复釉质表面。
同时饮食上应注意清淡和有营养的食物,多食青菜、菇类等绿色蔬菜。家长们应该积极做好预防工作,避免疾病给孩子带来更多危害。小儿牙本质生长不全综合征怎么办
广州越秀圣贝口腔门诊部口腔
广州越秀圣贝口腔门诊部口腔是一家连锁医院,集口腔治疗、预防、保健和牙齿美容修复于一体,致力于为广大消费者打造“您专属的私人牙医”。广州越秀圣贝口腔门诊部口腔全面践行连锁医疗无菌操作理念,在行业内率先实现“一人一诊室一治疗室一医一助一机一用一消毒”8个一无菌诊疗模式,有效地杜绝了各种传染性疾病的交叉感染。在同行率先将灭菌消毒提升至16层,杜绝了因机器污染引发的感染,让您安心看牙。