!-->

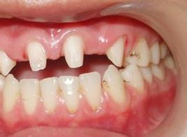
牙本质生长不全综合征又称牙釉质发育不全综合征、棕色牙综合征等,是一种常染色体显性遗传性疾病。根据本症的特殊和形态学改变而命名为牙本质不全综合征等。本病征累及乳齿与恒齿,这些表现在出生后长牙时即可出现。小儿牙本质生长不全综合征的表现是牙齿较小,呈半透明状,色泽棕黄或橙黄。质地脆弱,容易折断,但无松动现象。全部或大部分牙齿可逐渐被磨短,甚至与牙龈平而相齐,受累牙齿的牙龈显得很坚硬。局部软组织肿胀但无疼痛和溢脓、出血现象。

1.轻症。釉质形态正常,无实质性缺损,釉质呈白垩色不透明,表面疏松粗糙,有时呈黄褐色。
2.重症。釉质实质性缺损,牙齿表面有带状或窝状的凹陷,变色呈白垩色或黄褐色,严重者无釉质形成或牙冠形态改变或缩小。
3.由全身性因素引起者。由全身性因素造成的釉质发育不全,左右同名牙对称,同时期发育牙同时受累。
小儿牙本质生长不全综合征产生的原因是:全身营养失调节,特别是钙、磷、维生素A、维生素D、维生素C的失调;全身或局部感染 高热或代谢病、小儿麻疹、猩红热、乳牙根尖周炎症和遗传因素。
小儿牙本质生长不全综合征会导致牙釉质实质性缺损,牙齿表面有带状或窝状的凹陷,变色呈白垩色或黄褐色,严重者无釉质形成或牙冠形态改变或缩小,导致发生龋齿。可伴有颌骨或骨不全,影响咀嚼功能。那么小儿牙本质生长不全综合征该怎么办呢?

治疗可从修补坏牙着手,进而拔除病牙,直至安装满口或部分义齿。
1.可不作处理 釉质钙化不良或只有很表浅的小陷窝,可不作处理。
2.缺损严重者 可做光敏树脂或树脂冠修复。
3.防龋处理 早期防龋可涂氟化钠。
小儿牙本质生长不全综合征对孩子的生长发育有极大的危害,家长们应该注意。要平衡孩子的膳食,重视母孕期营养,做好各种孕期保健和儿童保健工作,增强体质,防止感染。给你美的看牙旅程
广州越秀圣贝口腔门诊部口腔
广州越秀圣贝口腔门诊部口腔是一家连锁医院,拥有一个强大的口腔团队,汇聚了欧美、亚洲等连锁着名的牙科,在口内、口外、修复、正畸、牙美容、牙种植等方面都颇有造诣。广州越秀圣贝口腔门诊部口腔拥有的、温馨的环境、合理的价格,满意的口碑、成功的治疗案例是你治疗口腔疾病的首要选择,同时医院致力打造“您专属的私人牙医”,这种企划理念彰显了医院专业、权威、、奢华的定位和品质,也可体现医院的综合实力,是您较佳的选择。