!-->

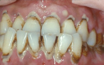
牙周炎不及时治疗有哪些危害?牙周炎是人们生活中经常出现的口腔疾病。因此有很多人对牙周炎不是很在意。因此没有及时治疗牙周炎。但由于没有治疗牙周炎,导致牙周炎带来更大的危害。下面广州越秀圣贝口腔门诊部口腔就来为大家详细介绍。

牙周炎不及时治疗会有哪些危害呢?
介绍:牙周炎症与牙菌斑有关,只要清除牙菌斑,牙周炎是可逆转的。早期牙周炎若得不到控制,就可能出现重度牙周炎,牙齿松动、甚至脱落等。进行定期的牙齿洁治,保持良好的口腔习惯,是防治牙周病的基础。若出现牙周病,需尽快来院拍摄口腔全景片,检查是否伤及牙根,以及进行必要的根管治疗。牙周炎该怎么治疗?
1.牙周炎的特点是牙齿周围组织(包括牙龈、牙周膜、牙槽骨)慢性破坏,自觉症状不明显,所以常不为一般人注意。一旦发生牙龈出血、溢脓、口臭、牙齿松动、伸长、移位及疼痛发作,才引起患者重视。如不及时治疗,其牙齿丧失的数目常不是单个而是多数牙,甚至全口牙同时受累。
2.牙周炎是一种慢性炎症,因为目前无法,只能控制病情发展,好的治疗方法是:定期做牙周的洁治,认真刷牙和注意刷牙时间(一般在3分钟为宜),以达到控制病情发展的目的。
3.牙周炎会出现口臭,会伴随着牙槽骨的萎缩,后会导致牙齿的松动和脱落。更为严重的是,牙周病的局部感染还可作为病灶,引起全身其他部位的一些重要脏器患病。例如急性或亚急性感染性心内膜炎、消化道疾病、关节炎、虹膜炎等疾病的发生都和牙周病有关联。所以建议早期治疗,控制病情的发展。
4.此外,牙周病严重者,引发冠心病、中风的几率也高出正常人很多;患重症牙周炎的女性易分娩早产低体重儿;
5.牙周病还可以导致一些已有全身疾病的患者抵抗力减弱,从而轻易诱发呼吸消化系统疾病。所以,防治牙周病不只是对人们的口腔健康,还有全身健康都有不可忽视的重要作用。

看牙 圣贝
俗话说,身体要想健康,首先牙口要好。有一则“牙好,胃口就好,身体倍棒,吃嘛嘛香”的广告语闻名全国,但与此同时,“牙痛不是病,痛起来要人命”让许多人提及看牙闻之色变。
圣贝连锁牙科连锁医疗机构在业界诊疗过程率先采用可调节电子镇痛仪,通过实现对末梢神经疼痛传导的阻碍,进行局麻下的治疗;笑气通过吸入麻醉实现全身心的放松,大限度地避免疼痛的恐惧,破解了业界及顾客困扰的难题。使看牙疼痛从此成为历史,快乐看牙变为现实,真正实现看牙后冷热酸甜,想吃就吃,让您再次享受充满美食快乐的品质生活。