!-->

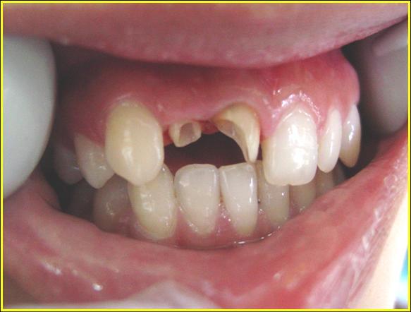
牙齿由于龋坏等原因而致使牙冠的大部分缺损,称为残冠,而牙冠基本缺失,仅剩余牙根,称为残根。残根残冠对人们的生活有极大的影响,应及早治疗。

残根残冠的危害:
1、旦形成了残冠、残根,牙齿的髓腔、根管就暴露于口腔的有菌环境之中,细菌可以通过根管而到达根尖,形成根尖周围炎,使牙齿成为病灶牙,进一步还可以引起全身的其它疾病。
2、残根残冠继续发展,不断剌激粘膜,口腔粘膜甚至可能恶变,形成口腔癌。
3、童乳牙的残冠、残根可能引起恒牙的牙釉质发育不全,遗留的残根还可以引起恒牙萌出过早或过晚,影响恒牙萌出的时间和位置,导致牙列畸形。
残根残冠的治疗方法:
1、乳牙的残冠、残根,引起根尖周炎,或影响恒牙的萌发时应予拔除。
2、恒牙的残冠、残根,根尖周病损较大,牙周情况不良,或对口腔粘膜有长期慢性剌激时,应予拔除。
3、牙周情况较好,根尖周病损不大的残冠,可以先进行的根管治疗,然后可通过根管打桩进行修复,后进行全冠修复恢复其外型和功能。
4、牙周情况较好,根尖周病损不大,牙根粗壮的残根,可以先予的根管治疗,后进行桩冠修复,或保留进行覆盖义齿修复。牙痛怎么办
广州越秀圣贝口腔门诊部口腔
广州越秀圣贝口腔门诊部口腔是一家连锁医院,集口腔治疗、预防和保健于一体,致力打造“您专属的私人牙医”。广州越秀圣贝口腔门诊部在发展中早已拥有一个强大的口腔团队,汇聚了欧美、亚洲等连锁着名的牙科,广州交大、华西、四医大等名校的口腔知名教授,实现了国内与国外修复团队的无缝对接,为圣贝医疗质量提供了强有力的保障。
圣贝连锁牙科连锁,是卫生厅认证的牙科机构,严格遵守卫生部对于口腔准入制度的所有要求,认真贯彻执行ISO9001: 2000质量管理体系的核心框架,符合连锁“五大标准体系“,确保消费者的合法权益。