!-->

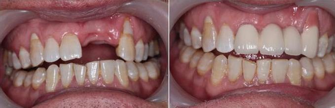
随着科技的进步发展,种植牙也越发成熟,越来越多的人接受了这一,但是往往难以达到他们期望的效果。这究竟是为什么呢?是不是种植牙真的不好呢?当然不是,这是因为人们缺乏对种植牙的了解。

所有人都能做种植牙吗?当然不是,全身健康状况不良,血液系统疾病,长期服用特殊物影响凝血或组织愈合能力者,严重的系统性免疫性疾病,过度嗜好烟酒、神经及精神疾患者,妊娠期患者,受口腔颌面部局部条件限制的患者都不适合做种植牙。
做种植牙首先要找一个专业的医院和有经验的,这样才能保证您手术的与质量,能给您更专业的意见。对于那些小医院或是经验不足的,可能会让您吃尽苦头甚至危害您的身体健康。
种植完后是否万事大吉?当然不是。要想种植牙健康长在还要做好术后护理:
1、定期复诊 种植牙后应该定期到口腔医院进行洁牙,去除平时刷牙无法清除的牙结石和牙菌斑,从而维持种植牙的长期清洁和稳定。
2、每天做清刷保健的次数和时间,清刷保健要有规律性,对种植义齿做有规律的清刷比随意清刷的效果好。
3、清刷工具和方法的选择,常用的工具为牙膏、牙刷,应选用刷毛较软者,并在使用前用热水浸一下使其变得更软,再蘸取牙膏、食盐进行清刷。既可以清洁口腔污垢,又可以加强对种植牙的保健维护的,减少对种植牙的刺激和伤害。
4、不要吃太硬的食物,容易磨损牙齿。

只有平常注意呵护才能保证种植牙使用长久。如果您对此感到还不放心,那您到广州越秀圣贝口腔门诊部口腔,解决您的一切后顾之忧。圣贝牙科保证患者知情权,与您共同制定终的治疗方案,每一步治疗都会事先取得客户患者的同意。广州种牙哪家强
治疗后,圣贝护理人员会仔细为您讲解口腔如何护理,及时通过知复查时间,并记录每次治疗后的详细变化,与您一同分享口腔健康、见证美牙过程的蜕变。种植之后还会定期回访,对您进行终身呵护。
广州越秀圣贝口腔门诊部口腔是一所连锁医院,拥有的、温馨的环境、合理的价格、满意的口碑、成功的治疗案例是您治疗口腔疾病的首要选择。同时医院抱着以人为本的信念致力打造“您专属的私人牙医”。