!-->

随着社会的发展,人们更加注重个人形象。然而不管你衣着如何光鲜亮丽,开口却是一口黑牙,也会叫人难以接受。一个好的形象应该从“齿”开始。

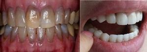
人们由于各种原因,比如懒于刷牙、不注重口腔保护、刷牙方法等,造成牙齿变黑。变黑容易变白难,只要牙齿变黑,再难将其刷白。人们不禁问了,牙齿变黑怎么办?就找广州越秀圣贝口腔门诊部口腔。圣贝独有的炫彩美白系统能够快速有效洁白牙齿。炫彩牙齿美白是目前的有效、,也是受欢迎的牙齿脱色,广受患者的肯定。它将的高强度蓝光,经由光纤传导,通过两片30多层镀膜的特殊光学镜片,再经过特殊光学处理,隔除一切有害的紫外线和红外线,将过氧化氢和直径为20纳米的二氧化硅等为主体的美白剂,快速产生氧化还原作用。透过牙小管,去除牙齿表面及深层附着的色素,从而达到美白的效果。
炫彩美白的优点:
1、无损:炫彩美白前的洗牙、牙面抛光和护龈已经为牙齿牙龈做好了防御工作,不但不会对其造成损伤,还有清洁保护作用,延长牙齿寿命。
2、快捷:炫彩美白全程只要30至45分钟完成,方便快捷,不影响正常生活和工作。
3、无痛:炫彩美白过程不会产生热量,所使用的亲水性材料有脱敏成分,所以无刺激性和疼痛感,让你在轻松舒适中完成牙齿健康与美白的蜕变。
4、长效:炫彩美白一般情况下护理得当可维持5年的美白效果,不会造成任何的交叉感染和后遗症。牙齿是越白越好吗?
广州越秀圣贝口腔门诊部在发展中早已拥有一个强大的口腔团队,汇聚了欧美、亚洲等连锁着名的牙科,广州交大、华西、四医大等名校的口腔知名教授,为圣贝医疗质量提供了强有力的保障。在圣贝,连锁牙科与知名学者,国内与自神修复团队形成了良好的无缝对接,在口内、口外、修复、正畸、牙美容、牙种植等方面都颇有造诣。广州越秀圣贝口腔门诊部口腔拥有的、温馨的环境、合理的价格,满意的口碑、成功的治疗案例是你治疗口腔疾病的首要选择,同时医院致力打造“您专属的私人牙医”。