!-->

总有很多人预约蛀牙前后要注意些什么。指出,如果出现了蛀牙就要及时的去医院治疗,治疗蛀牙前医院的选择,治疗蛀牙后自身口腔的维护都是很重要的。下面广州越秀圣贝口腔门诊部就来为大家详细介绍。

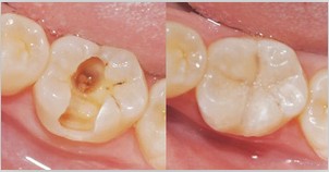
对于蛀牙的现象,的建议就是要及时的去医院进行治疗。
治疗蛀牙前医院的选择
随着大家对于口腔保健意识的加重,我们的身边出现了越来越多的口腔医院。小医院、小诊所层出不穷。可很多人不知道由于规模小、资金不足等原因,小医院小诊所卫生消毒不好,很容易就引起交叉感染。所以大家在治疗蛀牙前对于医院的选择是一般重要的。一家好的医院在一定程度上就保障了患者的口腔。怎么有效预防蛀牙?
治疗蛀牙后口腔的维护
由于每个人蛀牙的程度不一,所采用的治疗方法也是不同的。后期对于口腔的护理也有些差异。但要提醒的是,无论患者采用何种的治疗方法,患者在日后的生活中,都要养成定期去医院洗牙的习惯。洗牙作为一种口腔保健,它不仅能够保护患者的口腔,还能美白牙齿。
养成良好的刷牙习惯:早晚各刷一次,在吃完早餐后再刷牙会更恰当,晚上睡觉前一定要刷牙。吃完东西也要漱口。
少吃零食,尤其是甜食:吃零食会影响正餐的进食,也会使食物残留在牙齿的时间拉长,而使腐蚀牙齿的微生物得以生长,加速牙齿的损害。
定期口腔检查:每半年作口腔检查,可早期发现,早期治疗。
窝沟封闭剂:在磨牙、双尖牙的窝沟处涂封闭剂,可以防止微生物和食物碎屑在窝沟的堆积,从而预防窝沟龋的发生。

广州越秀圣贝口腔门诊部口腔您使用治疗系统治疗蛀牙
系统让整个治牙过程出血极少,几乎,不需麻醉,可用于蛀牙的根管治疗、牙周病治疗、人工种植牙、牙髓病及口腔软组织切除等方面,是目前口腔治疗的新,代表了口腔诊疗人性化、化和化的发展方向。