!-->

一口整齐洁白的牙齿能够迎来别人羡慕的目光,给自己增添色彩。洗牙既能保持牙周健康,又能一定程度上起到牙齿美白的效果,让人的牙齿散发着自然亮丽的光泽。在牙齿美容成为时尚的现代,关于洗牙,还是存在着不少误区。下面广州越秀圣贝口腔门诊部就来为大家详细介绍。

误区一:刷牙就不必洗牙
误解:很多认为平常经常刷牙,每次刷个3分钟,已经做到位了,就不必洗牙了?
正解:刷牙和洗牙应该都要做好。刷牙是日常维护口腔健康的重要方法,每个人都必须做,及时清除口腔中存在的牙齿“垃圾”,而洗牙能够有效去除刷牙不易刷除的牙菌斑、结石,维持口腔健康。通常多长时间洗一次牙合适?
误区二:牙缝越洗越大
误解:有些患者明显感觉到洗牙后,牙齿的缝隙变大了,认为这是洗牙造成的不良影响。
正解:其实洗牙本身不会导致牙缝变大,牙缝变大的原因主要是与牙周不健康有关。很多人洗牙后牙缝变宽,主要是由于没有洗牙前牙缝里堆满了牙石,牙根早已暴露在外,只是被牙石所覆盖,洗牙后牙结石去除,牙根暴露,牙缝边宽。
误区三:洗牙一定会出血
误解:有些人在洗牙的时候,牙齿居然流血了,不明情况的患者以为这是洗牙导致的。
正解:一般来说,牙齿卫生做得好、牙周健康的人,洗牙是不会出血的。有牙龈炎的患者,在洗牙清除牙结石后,导致炎症部位外露出血。

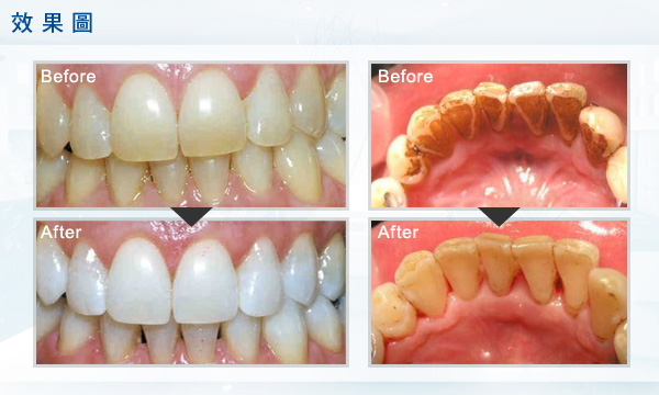
圣贝超声波洁牙 患者洗牙的!
超声波洁牙术就是通过超声波的高频震荡作用,去除牙齿上的牙结石、烟渍和茶斑,可以防止牙龈出血或者牙齿松动的情况,帮助治疗牙周炎等口腔疾病,而且对牙面的损害小,洗牙的时间较短,治疗方便,效果明显,不会伤害到口腔健康。洗牙的超声波只能把口腔内大块牙石振下,不会像超声波洁治器的刀头在釉质面留下细微的痕迹。同样也降低了超声洁治器的震动给患者带来的不适(经常被炒作成为“洗牙”)。