!-->

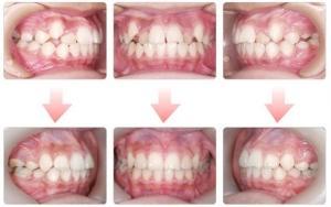
龅牙是较为常见的牙齿畸形问题,有了龅牙不仅影响容貌美观,而且很容易就导致塞牙、牙齿咬合不正等问题影响口腔健康。有了龅牙就要及早治疗。但是如果在龅牙之前能够及早预防,就更胜一筹了。那么广州龅牙是因为哪些原因导致的呢,下面就让广州越秀圣贝口腔门诊部来介绍一下。

广州龅牙是因为哪些原因导致的?
1、口腔不良习惯可能导致龅牙的发生;在儿童在替牙期间长期出现吮拇指、咬下唇、舔上前牙等不良习惯,均可使得腭盖高拱,牙弓狭窄、牙齿排列不整齐、龅突。不良的口呼吸习惯也是形成“龅牙”的直接原因之一。如何矫正龅牙?
2、替牙期的局部障碍可能导致龅牙的发生;替牙期如果出现下前牙先天缺失或下颌乳磨牙因各种原因造成的早失,均可导致下颌牙弓前段变小,上颌就可明显变长、外突;替牙期上颌多生齿以及恒磨牙萌出顺序的异常,也可导致上颌牙弓变大,从而形成上颌前突的“龅牙”面孔。
3、遗传因素可能导致龅牙的发生;由于家庭中的遗传,这也是导致我们龅牙的另外一个因素。

美颜正畸,龅牙矫正治疗的有效方法
圣贝连锁牙科正畸研究中心美颜正畸,在不磨牙,不戴冠的情况下,将韩国微整形美容(颌面外科手术)与数控隐形矫正(牙齿矫正)相结合,在实现健康矫正的同时,利用矫正牙齿过程中的骨移动原理,重新改造面部形态的骨骼群,终实现面部“整形”。
圣贝连锁牙科连锁医疗机构运用美颜正畸在牙齿矫正过程中,全程可视化,使矫正后的牙齿高度保持在同一水平面,与唇珠点、口角点正中点完美结合。通过制作科学精细的牙齿较正过程,结合面部结构、脸型特征等因素,以保证达到理想的牙齿矫正效果。