!-->

随着社会的不断发展和医疗的不断进步,人们对美的要求越来越高,也越来越精细化。广州越秀圣贝口腔门诊部介绍,牙齿的状况不仅关系到身体健康,而且可以直接看出一个人的良好卫生习惯和文明程度,甚至代表了一个人的整体形象。牙齿发黄该怎么办才好?

牙齿黄是由哪些因素造成的?
1、健康因素:牙齿在发育过程中由于营养不好或生过病,会使牙齿的钙化受到影响,牙齿会黄而松脆。广州洗牙哪家医院好?
2、水质的因素:有些地区,特别是有些山区,由于水中含氟量高,过多的饮用氟牙齿会发黄,形成氟斑牙。
3、卫生习惯:有些人不注意口腔卫生,没有早晚刷牙习惯,牙齿的表面堆积一层食物残渣、软垢、牙石、烟渍、茶渍、咖啡渍等。这些“色素牙”不是牙齿本身发黄,是不注意口腔卫生造成的。
4、物因素:70年代左右出生的人,由于四环素的大力推广使用,都有一口黑黄的牙齿,俗称四环素牙。现在大都数人都知道了四环素类物可导致黄牙的发生,特别是在儿童(5岁前)服用影响更大。

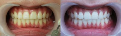
广州越秀圣贝口腔门诊部连锁牙科连锁医疗机构炫彩美白系统:30—45分钟,提升色阶美白无痕
圣贝连锁牙科连锁医疗机构引进的炫彩美白系统,是目前连锁上先进的牙美白之一,它运用了光谱原理,采用低温蓝光,隔出一切有害的紫外线与红外线,完全避免了操作过程中的不适与刺激、对周围组织的副作用。一次性30分钟至45分钟的治疗,可使牙齿平均提高5—14个VITA色阶,并使治疗后的牙齿具有自然的光泽。
炫彩美白系统适用于:一般外因性色素牙(咖啡、茶渍、烟渍沉积)、中轻度四环素牙、氟斑牙、物性变色牙、遗传性黄牙等。美白效果更明显,护理得当有效可达数年。