!-->

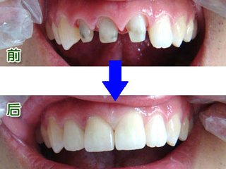
对于烤瓷牙这个词,相信大家都并不陌生,其具有的优势也是深受很多爱美者的喜爱,对于烤瓷牙的寿命大家备受关注,那么,烤瓷牙使用的寿命长吗?下面广州越秀圣贝口腔门诊部就来为大家详细介绍。

【烤瓷牙使用的寿命长吗】
指出:影响烤瓷牙使用寿命的因素主要有以下几点:
1、口腔状况:如果口腔牙齿情况较好,那么烤瓷固定桥预后就有一定的保障。如果基牙状况不好,咬合关系不良,病人不能保持良好口腔卫生,制作再好的固定桥预后也是不佳的。哪些人可以做烤瓷牙?
2、的:烤瓷牙寿命和有很大的关系,不过关,烤瓷牙设计不合理,那就有可能牙因受力过大原因导致烤瓷牙折裂、牙松动等现象,严重影响到烤瓷牙的寿命。因此选择专业的很重要。
3、后期维护:如果口腔卫生保健意识不高,经常不注意口腔卫生,那么烤瓷牙使用寿命就会缩短。所以,制作烤瓷牙后更应该注意保护牙齿,并定期到医院检查,做个洁治,发现问题及时处理。
对于烤瓷牙使用的寿命主要还是受一些其他的相关因素所影响,因此,建议烤瓷制作一定要选择正规的医院进行治疗,治疗过后需要注意口腔清洁卫生,并定期到院进行检查治疗,是延长寿命的关键。

哪家医院做烤瓷牙好?
广州越秀圣贝口腔门诊部口腔拥有的、温馨的环境、合理的价格,满意的口碑、成功的治疗案例是你治疗口腔疾病的首要选择,同时医院致力打造“您专属的私人牙医”,这种企划理念彰显了医院专业、权威、、奢华的定位和品质,也体现了医院的综合实力。