!-->

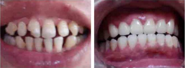
牙齿不齐治疗方式有哪些?对于牙齿不齐的问题,其实牙齿不齐又称错牙合畸形,是指儿童在生长发育过程中,由先天的遗传因素或后天的环境因素,如疾病、口腔不良习惯、替牙异常等导致的牙齿、颌骨、颅面的畸形,主要表现有:牙齿排列不齐、上下牙弓间的牙合关系异常、颌骨大小形态位置异常等,爱美的朋友们都想矫正牙齿不齐的情况,现在想矫正牙齿的话,美牙冠就是有效的方法。

牙齿不齐治疗方式:
1、病因治疗:早期治疗乳牙龋,可防止乳牙早失和偏侧咀嚼,破除口呼吸和腭裂的治疗,以减少后牙反合的发生;牙齿不齐该怎么办呢?
2、矫正器治疗:通过各种矫正器来治疗;
3、其他治疗:合垫式矫治器在反合解除时,同时需要选磨合垫。在矫治过程中,可配合牙尖的选磨,以利建合。在反合矫治后,可配合嚼肌和颞肌的训练。

牙齿不齐矫正—广州越秀圣贝口腔门诊部连锁牙科医院
广州越秀圣贝口腔门诊部连锁牙科源自圣贝牙科历经百年,拥有百年牙科精研,引进先进的牙齿矫正设备,为您制定不同的矫正方案。广州越秀圣贝口腔门诊部连锁牙科精湛口碑良好,每年为全世界人们完成千万例的牙齿治疗,成为深受大众喜爱和欢迎的连锁标准的专业牙科医院。圣贝牙科已经在全国多个城市建立连锁门店,每年为千万牙齿患者治疗牙齿恢复牙齿健康笑容,守护您和您的家人牙齿健康是我们义不容辞的使命!
广州越秀圣贝口腔门诊部连锁牙科医院拥有温馨的就诊环境和标准的牙科设施设备,并且在诊疗过程中实行“一人一诊室一治疗室一医一助一机一用一消毒”8个一无菌诊疗模式和标准规范的16层净化消毒系统,让您和您的家人正在享受私人牙医的品质标准服务,舒适的就诊,拥有健康牙齿的美丽笑容。