!-->

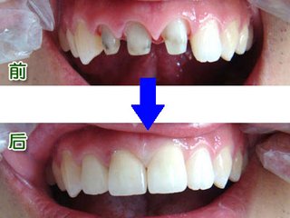
在日常生活中,牙齿断裂的事情时有发生,或意外伤害或疾病所致。牙齿断裂不仅让我们的外在美观存在影响,而对吃饭、说话甚至社交也会造成影响。

牙齿断裂怎么办?牙齿修复表示:牙齿断裂因为牙齿外伤、折断的情况不同,就需要不同的方案。牙齿外伤或牙齿折断的情况分类:根据牙齿受到外伤的情况把牙外伤分成牙齿震荡伤、牙齿折断、牙齿移位、牙齿脱位。其中,牙齿折断在临床上又根据其折断的部位位置可分为三种情况:牙冠折断、牙根折断、冠根折断,因为在补救牙齿的时候要先去医院做检查,然后选择适合的方案。
5D美容冠
圣贝口腔引进的美牙冠修复针对牙齿断裂缺损、牙齿缺失、牙齿色泽不佳等牙齿问题,也是一种很好的修复方式。相对于种植牙而言,美容冠更适合牙根完好的牙齿缺损的修复。美容冠具有形态逼真,耐磨性强不会变形,色泽稳定、耐酸碱,能够长久使用等优点,在很多已被广泛的使用。
“美容冠”美牙是流行于欧美、日韩的一种全新牙齿美容,它突破传统正畸和烤瓷牙的各种弊端,对错位牙,畸形牙的临床冠部分施以专业,后用美容冠加以矫治。美牙过程舒适,无需拔牙更苦。矫治整个过程只需7天,来院两次即可,矫治完成后牙齿更加坚固、美观大方,多年后牙齿不易出现黑线等优点,从而达到持久的美牙效果,在保证功能的基础上更强调牙齿美观。

5D美容冠有哪些优势?
1.不拔牙:美牙不需动及牙根,解除你爱美又怕痛的顾虑。整个过程在轻松的音乐中完成。
2.色泽逼真:引进国外比色,根据就诊者不同的牙色,使成形后的牙齿达到完美的色调统一,天然逼真,常年保持美丽天然的光泽。
3.高效快速:新科技成果的应用,短时间内就可轻松拥有一口靓牙。
4.美观大方:美容冠牙齿美容采用新数码科技,分析你的牙齿形态以及病症,由专业的美容牙医为你制定美牙方案,成形后的牙齿美观大方,像真牙一般不易分辨。》》》为什么现在很多人做种植牙?

广州越秀圣贝口腔门诊部 正确选择
广州越秀圣贝口腔门诊部口腔引进一系列的数字化前沿口腔医疗设备,构成了圣贝牙科庞大的数字化家族,让人们放心看牙,而且这里所聘均为专科,在其所研究的领域有一定造诣。而且所有材料均为国外进口,新加坡统一配货,经过层层把关进入圣贝,美容冠质量更有保障。