!-->

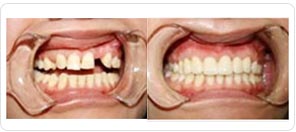
牙齿问题,大多数人都有,或多或少的牙齿问题都存在,很多牙齿经过反复治疗后变成了顽疾,就面临着拔牙的情况,拔牙后会导致牙齿缺失,即影响形象也影响正常的咀嚼功能。此时,新的种植牙就可以避免牙齿缺失的影响,我们一起来看看为什么那么多人做种植牙?

什么是种植牙?
种植牙是由种植体及其支持的上部结构组成的修复体,即在缺牙区植入钛金属牙根(又称人工牙根),金属牙根与周围骨组织结合后,可以稳固地支持上部义齿(又称假牙)。
prince种植牙有什么优点? 与传统的镶牙方法(活动假牙和固定桥) 相比,prince种植牙有以下优点:
1. 不磨损健康牙。传统的修复方法,如牙托、固定桥等常常磨损相邻的牙齿,而种植牙则不会磨损相邻的健康牙齿。
2. 可解决传统方法无法解决的问题。传统的镶牙方法在游离端缺牙、缺牙较多或全口缺牙时无法镶固定的假牙。种植牙则无论是单牙缺失、游离端缺失、多牙缺失及全口无牙时都可以使您拥有舒适的固定牙齿。
3. 美观、效果自然、逼真。高品质的种植牙假牙和牙龈部分都可以做得自然、逼真。
4. 感觉舒适。由于不需要传统的活动假牙所必备的卡环及大面积的塑料基托,因而没有因此导致的不舒适感,患者普遍认为种植牙在口腔里的感觉比传统的假牙更舒适。
5. 稳固、咀嚼功能好。因为种植牙可直接直入牙床内,坚固稳定,在进食时,您立即会感觉到很久未有的咀嚼功能。高品质的种植牙通常可长久使用。种植牙的脱落率低于人类自然牙的脱落率,有30年以上还在完好使用种植牙的病例。
6. 口腔清洗方便。因为种植牙是仿天然牙,所以刷牙时和自然牙一样,不像传统的活动假牙需要摘下来进行清洗。》》》成人牙齿矫正会有效果吗?
牙齿种植 就选广州越秀圣贝口腔门诊部
广州越秀圣贝口腔门诊部口腔是一家连锁口腔专业机构,拥有专业的医疗器材和治疗,我院团队对牙齿种植领域都积累了丰富的临床经验,借患者之间的口碑相传,声名远播,全国患者纷纷前来就诊,是您的较佳选择。