!-->

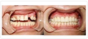
门牙掉了怎么办?这是很多人比较关注的问题。因为门牙的位置特殊,常常不小心的意外都可能导致门牙缺失。门牙缺失给人们的生活会带来极大的影响,因此对于门牙缺失我们需要及时修复。但是门牙修复方式有哪些呢?

广州越秀圣贝口腔门诊部口腔指出目前,牙齿缺失修复的方法主要有三种:
1、烤瓷牙修复
1.1氧化铝全瓷、铸造陶瓷冠:其实这是两种不同的修复体,但是它们又有许多共同点。
1.2全瓷修复体。计算机全瓷(CAD/CAM):现代修复临床应用中高水平的修复体。
2、活动义齿修复
2.1传统卡环式可摘局部义齿:因制作材料有所不同,又大致分为弯制不锈钢丝(树脂)胶托、铸造不锈钢托、钛合金托、纯钛托、贵金属托、弹性隐形义齿等许多品种,其中贵金属托适合后牙区,弹性隐形义齿修复前牙区较美观。
2.2精密附着体可摘局部义齿:利用各种精密度高的按钮或锁扣等配件把可摘局部义齿固定而行使咀嚼功能的修复体。比卡环式可摘局部义齿美观、稳固。
2.3套筒冠可摘局部义齿:利用原有基牙制作套筒冠。更美观、易清洁假牙。
3、种植修复体
种植修复体是把纯钛种植桩通过手术种植在牙槽骨中,模拟自体牙根的作用,再在种植桩上放置修复体。适合固定修复,也适合活动修复,是现代修复的发展方向。
种植修复优点有:种植义齿的支持、固位和稳定功能较好,可避免或减少固定义齿的基牙预备,相对活动修复体较舒适。》》》种植牙能用多少年?
表示,不管是哪种牙齿修复方式,重要的都是医院的选择。医院决定着的好坏,同时决定了牙科的水平。那么牙齿修复哪里好?

医院---广州越秀圣贝口腔门诊部口腔!
广州越秀圣贝口腔门诊部口腔是连锁牙科连锁品牌圣贝牙科在广州设立的旗舰口腔医院,享用着来自圣贝连锁牙科品牌口腔诊治经验与世界水准的牙科治疗设备。
在近百年的发展历程中,圣贝牙科早已是圣知名的品牌牙科医院。百年以来,圣贝牙科一直围绕着对世界前沿口腔诊疗的不断追求与创新的同时也与各大医疗集团、医学院校建立起了密切的战略合作关系,并通过牙科诊疗设备、治疗材料与人才上的强力支撑,形成了一套完整的连锁牙科品牌保障体系。

种植,修复牙缺失的!
广州越秀圣贝口腔门诊部口腔采用的种植是目前连锁对口腔牙列缺损、牙列缺失修复的较佳之一。该是通过术前对患者牙槽骨进行数字化的影像扫描定位,并根据相关数据制作定位导向,而后"人工牙根"顺着定位导向植入牙槽骨,当"人工牙根"与牙槽骨生物相容稳固后即可进行镶牙。种植牙被誉为乳牙、恒牙之后人类的"第三副牙齿"。
广州越秀圣贝口腔门诊部口腔为患者提供现代典雅舒适的环境,优质全流程的客服服务。邀请设计韩国富川大学建筑设计教授金政寿亲自操刀空间设计,整个门诊环境高雅舒适,以"航空式服务标准"要求和训练的接待团队,力求为每一位来店的顾客提供优质的服务。与此同时,作为现代牙科专业医院的典范,能适应现代高节奏的社会步伐才能走得更远。圣贝牙科一改传统医院排队、挂号、等待的繁冗环节和程序,致力于为顾客打造高效的就诊机制,提高就诊效率。