!-->

种植牙可以说是目前修复缺失牙齿好的方式之一,由于人工牙深植牙骨内,可承受正常的咀嚼力量,功能和美观上几乎和自然牙一样,因此,收到很多牙齿缺失患者的亲睐。种植牙的寿命如果护理得当是可以使用很长时间的。那么种植牙能用多久呢?

表示,种植牙寿命的决定性因素是日常维护。种植牙寿命的长短除了与治疗好坏有关外,还与患者的身体状况、使用及自我维护相关,而后者是决定种植牙寿命的决定性因素。维护好了,种植牙使用时间肯定长,维护得不好,其使用寿命就会短的多。
种植牙能用多少年?
1.患者种植牙周围的牙越健康,种植牙寿命就越长;缺失牙越少,种植牙使用寿命越长;周围的牙槽骨萎缩得越多,种植牙寿命越短;
2.患者全身疾病会降低口腔的免疫力,对种植牙和天然牙都不利,种植牙寿命也会减少;
3.种植牙越好、经验越丰富,种植牙设计的就越合理,种植牙效果就越好,自然种植牙寿命越长;
4.按时做有效的口腔清洁,种植牙寿命就长;定期洗牙,就比从不洗牙寿命长。》》》种一颗牙多少钱?
口腔提醒患者,种植牙的效果是重要的,因此好选择正规的医院进行检查和种植,以免对口腔健康和身体健康带来诸多影响。

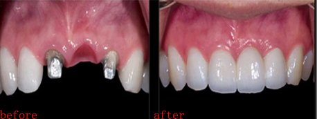
——即刻种植牙
广州越秀圣贝口腔门诊部口腔推出的即刻种植牙是目前先进的种植之一,运用广泛,适用于牙齿缺损、牙列缺损、全口无牙。品质坚硬,基台坚固,稳定性强,大限度恢复正常咀嚼功能,咬合力达到正常牙的98.98%;生物相容性极好,口感良好,无任何异物感,可轻松解决各种牙齿缺失问题,在较短时间内"种"出美牙,让患牙即刻获得新生。