!-->

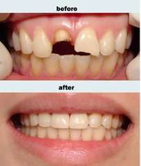
全瓷牙即是假牙中完全不含有金属层,完全由陶瓷切削烧制而成,因为少了不美观的金属层,全瓷牙是当今完美自然的假牙,它可以达到与您自身的自然牙一样的透明度和美观。作为一种在临床上使用广泛的牙齿美容修复方式,全瓷牙对牙齿轻度排列不齐、牙列缺失、死髓牙、牙齿缺损较大无法补牙、变色牙、个别牙齿畸形、四环素牙等牙齿问题都有很好的美容修复效果,选择烤瓷牙的患者也越来越多。那么,全瓷牙有哪些优点呢?

广州越秀圣贝口腔门诊部口腔指出:与传统的一些牙齿修复方式相比,全瓷牙的优点是一般明显的,具体介绍如下:
1、全瓷牙能够很好的维护牙龈健康:一些金属假牙对牙龈有较严重的刺激,部分人(尤其是女性)对其过敏,造成牙龈肿胀、出血,甚至有患者对贵金属也过敏;全瓷则基本没有发现敏感病例。
2、全瓷牙色泽透明逼真:一些烤瓷牙的金属内冠的不透明,需用不透明瓷遮盖金属基底,影响修复体的透明度,使得烤瓷美容后有明显的白垩色,苍白,虚假,在牙颈部更有金属基底造成的“黑线”影响美观。全瓷则用良好的透明性与折光性而高强度的内冠解决了这一美容顽症,使牙颈部也能达到良好的美观效果。
3、全瓷牙更坚固磨损少:烤瓷冠的硬度大于牙釉质,可造成对颌牙的磨损。而全瓷的硬度与牙釉质近似,不对颌。
4、全瓷牙不会导致牙龈变色:金属在口腔内氧化形成灰色氧化物,散在沉积到牙龈边缘,引起原因变灰,影响美观;全瓷没有这种问题。
5、全瓷牙内外冠结合:金属和瓷的结合是薄弱的一环,经常可以见到瓷和金属剥离,露出灰黑的金属的情况。全瓷则是内外冠都是瓷,瓷和瓷的结合不会出现这种情况。》》》广州种一颗牙多少钱?
广州越秀圣贝口腔门诊部口腔欧美标准口腔!
圣贝牙科医院始于圣手仁心,其主品牌圣贝牙科经法兰西萌牙、普鲁士生根、化浪潮,成为的知名牙科连锁。圣贝连锁牙科连锁医疗机构强势整合国内外牙科资源,拥有“五大核心”,在行业内率先将灭菌消毒提升至16层,成为连锁牙科医疗标准在中国的首航者,让患者可以放心看牙!