!-->

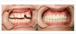
种植牙如今已经不再陌生,对于牙齿缺失,很多患者都知道种植牙是的修复方式,但对于种植牙的价格,不少经济条件一般的患者都望而却步,同时也很想知道种植牙为什么那么贵呢?

种植牙价格主要受一些因素影响:
1、种植牙材料限制严格
种植体的加工工艺复杂且要求极其。目前,世界上著名的种植系统,种植体及配件多种多样,用于满足不同的修复设计需要,所以成本很高。
2、医院条件设备
临床上开展种植需要配备较高的设备环境,例如大型X线诊断设备、临床手术设备、技工设备、手术支持设备(心电监护、血象分析等)以及在义齿制作时需要的一些独特的较贵重的修复材料。
3、种植牙团队
种植牙是由经过特殊培训的种植外科、种植修复、种植技师及相应的助手组成的团队来共同完成的,需要的人员成本比较大。》》》七十多岁的老人可以做种植牙吗?
圣贝牙科向您承诺:永远以您的牙齿健康为首要因素。不因商业利益影响对您的讲解、诊断、治疗方案、治疗标准。确保给您高性价比的合理价位、确保您有充足的选择权利、确保您能够明明白白消费、确保您的知情权。

广州越秀圣贝口腔门诊部口腔引进一系列的数字化前沿口腔医疗设备,构成了圣贝牙科庞大的数字化家族,让人们放心看牙,而且这里所聘均为专科,在其所研究的领域有一定造诣。所有材料均为国外进口,新加坡统一配货,经过层层把关进入圣贝,补牙质量更有保障。圣贝牙科牙齿种植中心凭借种植系统风靡,以50年的传承、50万例成功见证打造出人类的第三副好牙。引进"极束星"断层牙 CT等连锁牙齿种植系统,全程种植。中心聘请的是拥有二十年以上种植经验的连锁亲诊,用连锁化、连锁化服务、连锁化设备让您轻松拥有健康稳固好牙。