!-->

牙齿矫正作为修复牙齿排列不整齐的修复方法,随着医疗的不断在更新发展,目前已有很多种,可以根据患者的不同症状进行选择。很多牙齿畸形患者由于自身的种种原因而错过了较佳的将牙齿矫正时间,想再次矫正的时候不知道牙齿矫正是否有年龄限制。这个问题,我们可以听听的介绍。

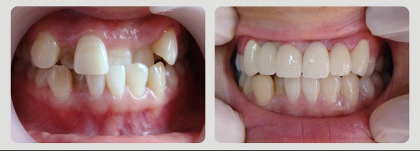
正畸前后对比图
广州越秀圣贝口腔门诊部口腔指出,牙齿矫正目前已经发展成为一项一般成熟的,突破了年龄限制的问题,在任何年龄阶段都能进行矫正,只要是在牙周良好的情况下都可以进行牙齿矫正。只是矫正的时间有所延长,没有像青少年时期矫正的效果是好而已。
如今成人进行正畸治疗主要是解决功能和美观的问题,现在有不少办法可以既矫正不整齐的牙齿,又让牙齿看起来美观的矫正器。如舌侧矫治、隐形透明矫治、陶瓷托槽隐形矫治等多种新型正畸矫治,可使成人摆脱正畸时的“钢牙”烦恼,轻轻松松地矫正牙齿。
矫正——美颜正畸系统
广州越秀圣贝口腔门诊部连锁口腔引进美颜正畸系统,不需要托槽和钢丝,是采用内窥镜检查,全景片检查通过计算机进行三维快速成像,确定牙齿分布状况,再根据力学原理和靶向定位着力点,植入新的与牙齿相容的仿生材料,用聚能的力量将畸形牙移动,后平移成成正常的排列状态,通过3至6个月在无形中达到矫治效果。它具有、舒适、省时、隐形、个性化等优点。》》》牙齿矫正的较佳时间是什么时候?
广州越秀圣贝口腔门诊部,专业口腔医院!
圣贝口腔拥有高科技、高水平的医疗质量,优雅舒适的环境,无菌、就诊的服务,并且创新性地在国内实行“8个一”无菌感控制模式:一人一室、一椅一治疗、一医一助、一机一消毒,有效避免了传染性疾病的交叉感染。JCI标准是全世界的医疗服务标准,代表着医院服务和医院管理的高水平。圣贝连锁牙科始终坚持为顾客提供、 的医疗服务。