!-->

牙齿畸形是指儿童在生长发育过程中由先天的遗传因素或后天的环境因素造成的牙齿、颔骨、颅面的畸形。如牙齿的排列不齐、上牙前突、下巴前翘、嘴巴歪偏等症状,随着临床研究的不断加深,近代牙齿畸形的概念已远不是只指牙齿的错位和排列不齐,而是指由牙齿、颅面之间关系不调而引起的多种畸形。牙齿畸形对患者有着诸多危害。

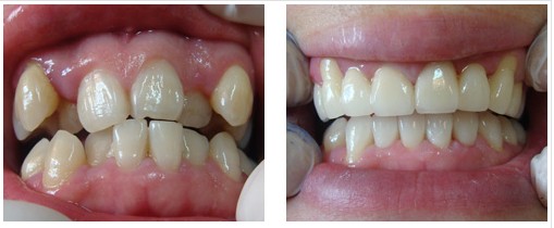
牙齿矫正前后
牙齿畸形的危害主要有以下几方面:
1、影响颜面美观
牙颌畸形影响颜面美观是直观的,如地包天、开唇露齿、下颌偏斜都会使人的整体形象大打折扣。
2、影响全身健康
牙颌畸形引起的咀嚼功能的降低会加重胃肠的负担,时间长了会引起消化不良或胃肠疾病;牙颌畸形引起的龋坏、牙龈炎、牙周病等口腔疾患,在身体免疫力低下时会诱发心肌炎、肾炎等系统性疾病。
3、影响口腔及颜面部发育
儿童生长发育期间的牙颌畸形如不能及时早期矫治,将会影响口腔及颜面部软硬组织的发育,引起面部的明显畸形。如地包天、开唇露齿等。
4、影响口腔卫生健康
牙齿排列不齐,牙齿自洁作用差,并且刷牙效果也不好,食物残渣和菌斑不容易去除,久之容易患龋坏(虫牙)、牙石(牙垢)、牙龈炎(牙龈出血)等口腔疾病,严重的可发展为牙周病,引起牙齿松动脱落。
5、影响口腔功能
有些牙颌畸形可能影响口腔功能。如前牙开牙合发音不清;反牙合、锁牙合病人对咬时接触面积比正常人小,咀嚼效率大大降低;深覆牙合会对下颌运动有影响,使下颌骨的运动关节-颞下颌关节运动异常,引起疼痛,并使面部肌肉容易疲劳。
6、影响心理健康
有些少年儿童因为牙齿长得不好看,受到同学或小伙伴的的嘲笑,产生自卑感,严重的影响心理健康。》》》二十几岁矫正牙齿晚不晚?
针对牙齿畸形 :圣贝美颜正畸
正畸目标=牙齿排列整齐+咬合重建+面部轮廓美化
圣贝连锁牙科正畸研究中心美颜正畸,在不磨牙不戴冠的情况下,将韩国微整形美容(颌面外科手术)与数控隐形矫正(牙齿矫 正)相结合,在实现健康矫正的同时,利用矫正牙齿过程中的骨移动原理,重新改造面部形态的骨骼群,终实现面部“整形”。
广州越秀圣贝口腔门诊部 值得您选择!
广州越秀圣贝口腔门诊部连锁牙科连锁医疗机构全面践行连锁医疗无菌操作理念,在行业内率先实现"一人一诊室一治疗室一医一助一机一用一消毒"8个一无菌诊疗模式,有效地杜绝了肺结核、肝炎、等各种传染性疾病的交叉感染。圣贝连锁牙科连锁医疗机构在同行率先将灭菌消毒提升至16层,杜绝了因机器污染引发的感染,为顾客筑起了一道的屏障。