!-->

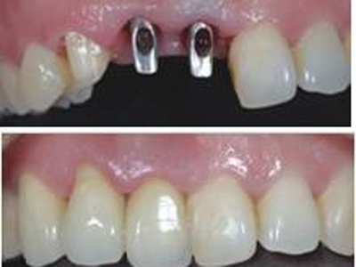
牙齿缺失怎么办?修复牙齿是关键,那么目前哪种牙齿修复方式好呢?美学种植牙,一种新型的种植,能几乎完美的替代我们缺失的牙齿,而在选择美学种植牙的时候,一家专业正规的医院无疑就成了关键,那么在广州哪家医院做美学种植牙好呢?

广州越秀圣贝口腔门诊部口腔自成立以来一直走品牌路线,是一所集医疗、、科研、治疗、修复、美容、预防为一体的力量雄厚、医疗设备前沿的现代化口腔医院。广州越秀圣贝口腔门诊部口腔以前沿的设备,的团队与连锁接轨,以其高超的、优质细致的服务深得中外患者一致信赖,成为国内较有盛誉的专业口腔医院。医院目前开展的种植牙、牙齿修复、牙齿矫正、牙齿美白以及口腔疾病综合治疗等项目,一直保持高治疗率记录,在广州地区屈指可数,遥遥领先。广州越秀圣贝口腔门诊部口腔就是种植牙的较佳选!美学种植牙的优点有哪些?
即刻种植
广州越秀圣贝口腔门诊部口腔引进连锁前沿的种植系统即刻种植,并采用连锁领先的“系列即刻种植牙”,在传统的种植基础上进行革新,将连锁上为前沿的“平台转换”种植新理念、和数字全息即刻种植融为一体。即刻种植牙具有手术时间短、治疗时间快、、使用寿命长、稳固、感觉舒适、自然美观七大优势。广州越秀圣贝口腔门诊部口腔还加强医德教育,开展“阳光从医”活动,所有的医务人员都应拒收红包、不接受病人吃请,只需部分检查的决不做全面检查、普通能的绝不用昂贵,大限度地减轻病人的经济负担。