!-->

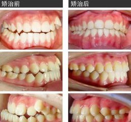
龅牙是常见的牙齿畸形症状,由于龅牙会给我们的身体与口腔带来诸多危害,所以龅牙须要及早矫正。为了让朋友们对成人龅牙的危害有更详细的了解下面我们一起看看成人龅牙有哪些危害。

首先,诱发成人龅牙的原因
首先,遗传因素是导致先天龅牙为常见的原因。受遗传操控较强的上前牙区域的多生牙、下前牙先天缺失也可以导致龅牙。其次,不良习惯比如吮指、咬下唇、舔上前牙、吐舌等,也将造成腭盖高拱,牙弓狭小,出现龅牙症状。后,常见的腺样体肥大、慢性鼻炎患者,患病时会形成用口呼吸的习惯,长期如此便会导致龅牙的天生!龅牙怎么矫正?
其次,成人龅牙的危害
1.影响口腔卫生:不整洁的牙列轻易形成清洁死角,增加蛀牙和牙石的发生几率,影响牙齿卫生与牙周。
2.削弱口腔咀嚼:隆起的龅牙会摧毁口腔正常咬合关系,这导致咀嚼功能下降,胃肠负担加剧,消化系统患病几率增加。
3.影响发音与美丽:整洁的牙齿可以起到良好的发音辅助功能,而龅牙则会影响患者日常语言交换。另外,开唇露齿、牙龈外露过多、软组织隆起等表现,还将直截摧毁患者的外观形象。
牙齿矫正——美颜正畸系统
广州越秀圣贝口腔门诊部引进的美颜正畸系统,不需要托槽和钢丝,是采用内窥镜检查,全景片检查通过计算机进行三维快速成像,确定牙齿分布状况,再根据力学原理和靶向定位着力点,植入新的与牙齿相容的仿生材料,用聚能的力量将畸形牙移动,后平移成成正常的排列状态,通过3至6个月在无形中达到矫治效果。
广州矫正牙齿哪里好?广州越秀圣贝口腔门诊部!
广州越秀圣贝口腔门诊部口腔汇聚了欧美、亚洲等地著名的连锁牙科和二、三、四医大以及北京大学口腔医学院、四川大学华西口腔医学院、广州交通大学口腔医学院、中山大学光华口腔医学院、武汉大学口腔医学院等医学院校,是一家集牙齿正畸、牙齿种植、牙齿美容、牙齿修复等口腔治疗项目于一体的专业口腔门诊医院。