!-->

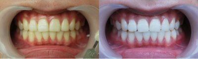
随着牙齿美白的普及,人们对牙齿美白的认知也越来越深,瓷贴面牙齿美白能在这种情况下受到越来越多的患者的追捧,究其原因还是瓷贴面牙齿美白本身的效果所致,那么广州牙齿瓷贴面有哪些优点呢?下面由广州越秀圣贝口腔门诊部牙齿美白为大家详细介绍。

【广州牙齿瓷贴面优势】
就瓷贴面本身来看,瓷贴面主要是一种覆盖部分牙面的瓷修复体,即采用粘结,在保存活髓、少磨牙的情况下,对牙体表面缺损、着色牙、变色牙和畸形牙等用瓷修复材料粘结覆盖其表面,以恢复牙体的正常形态和改善其色泽。全瓷贴面适应症有哪些?
具体优势如下:
一、自然逼真。
全瓷贴面因为没有金属基底冠,因此颜色更加自然、逼真。
二、磨牙少。
瓷贴面磨牙量相对瓷冠大大减少,一般要少50%以上。对于适合的病例,牙齿磨除量更加减少,因此瓷贴面对牙髓的伤害可能性很小,相对于瓷冠,牙髓保留可能大大增加。
三、美观度高。
瓷贴面美观程度高,许多病例都可以达到以假乱真的效果。
四、无须麻醉。
当然有一点是必须说明的的,由于瓷贴面牙齿磨除量小,部分病例无须麻醉,即可进行,这点虽然不是独特的功能,却足以成为许多患者朋友望而却步的一个因素之一。
五、牙龈刺激小。
另外瓷贴面对于牙龈的刺激很小,如果边缘密合,并严格抛光,可以保持很好的牙龈健康状态。
当然关键的还是瓷贴面的设计,牙齿美容设计与瓷贴面本身的设计都很重要。如:边缘、切端、咬颌面的位置的设计等;而瓷贴面可以根据牙齿的不同情况千变万化,这就更需要的足够经验和理论支持。

那么广州牙齿瓷贴面选择哪家医院好呢?
广州越秀圣贝口腔门诊部引进的三维全瓷系统是连锁前沿的个性牙齿美容修复,采用“极束星”全口牙CT数码定位,能同时满足外观和功能重建,制作精准、快速、取像、设计一次完成,缩短诊疗时间,节约顾客时间成本,轻松完成瓷贴面制作。