!-->

儿童牙列稀疏较佳矫治办法是什么?牙列稀疏的矫治目的在于如何能关闭牙列内的间隙,这两种两种情况的牙齿矫治的方法不一样。那么儿童牙列稀疏适合的矫治方法是什么呢?请看广州越秀圣贝口腔门诊部连锁牙科的介绍。

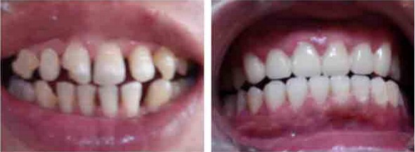
儿童牙列稀疏,牙列稀疏矫治
那么儿童牙列稀疏怎么治疗好呢?广州越秀圣贝口腔门诊部连锁机构介绍:要矫治儿童牙列稀疏首先要了解牙列稀疏的具体原因,才能对症作出适合自身的牙齿修复方式。儿童牙齿不齐矫正需要多少钱?
l.可关闭间隙的矫治方法由局部因素造成的间隙,在去除病因后,若为替牙期,可以观察侧切牙和尖牙的萌出,间隙能自行调正。若为恒牙期,则必须使用矫治器治疗。
2.不可关闭的间隙的矫治方法因先天缺牙、牙量小和大舌等因素造成的间隙,在不能单用矫正方法关闭时,可集中间隙后,再做修复治疗。

儿童牙列稀疏较佳矫治办法:美颜正畸系统
广州越秀圣贝口腔门诊部连锁牙科连锁机构引进的美颜正畸系统是目前连锁上先进的隐形矫正系统,它具有隐蔽、美观、便捷等优势,采用内窥镜检查,全景片检查通过计算机进行三维快速成像,确定牙齿分布状况,再根据力学原理和靶向定位着力点,植入新的与牙齿相容的仿生材料,用聚能的力量将畸形牙移动,后平移成成正常的排列状态,只需3至6个月便可在无形中达到矫治效果,不受年龄限制,无论是成人还是儿童均适合,能够针对每一位患者设计出个性化的矫正方案。复诊次数少,极大解决了患者的宝贵时间。

儿童牙列稀疏,牙列稀疏矫治
选择一家正规专业的医院是进行牙齿修复的关键。广州越秀圣贝口腔门诊部拥有国内外经验丰富的、优雅的环境、精湛的医技。广州越秀圣贝口腔门诊部早引进连锁和服务的专业牙齿修复机构,是国内具品牌价值和影响力的口腔医院。先进口腔诊疗设备、超群的口腔团队为您提供精准的口腔诊疗支持。