!-->

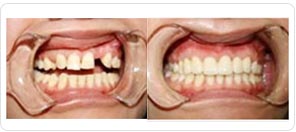
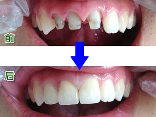
生活中总是磕磕绊绊,跌跌撞撞,难免会遇到一些意外情况,比如摔倒,撞伤等等,不要小看这些意外情况,轻还无事,重则无疑会给我们的身体和身心带来了巨大的伤害,比如导致牙齿脱落,那么,因意外导致牙齿脱落可以再植吗?

广州越秀圣贝口腔门诊部指出,如果因为碰到意外导致牙齿脱落,首先一定要找到脱落的牙齿,千万别随意将牙齿扔掉。因为现代口腔医学可以将脱落的牙齿再植回到原来的牙槽窝,使其继续发挥作用。这种手术医学上叫牙齿再植术。广州种植牙哪里好?
针对牙齿缺失,种植牙系统可以帮助您解决难题。
种植牙系统让能持续地为患者实现美学和功能性修复,让他们能真正享受种植牙无论是外观还是感觉都与天然牙相差无几。种植牙系统是目前连锁对牙列缺损、牙列缺失修复的较佳。该是通过术前对患者牙槽骨进行数字化的影像扫描定位,并根据相关数据制作定位导向,而后"人工牙根"顺着定位导向植入牙槽骨,当"人工牙根"与牙槽骨生物相容稳固后即可进行镶牙。种植牙被誉为乳牙、恒牙之后人类的"第三副牙齿"。

牙齿意外脱落选择种植牙的优势:
1)、它的咀嚼功能大大优于其它假牙;
2)、可少磨或不磨自己的真牙;
3)、体积小不外露金属、美观,更有利于保持口腔清洁卫生;
4)、具有很强固位和稳定性,可象真牙一样扎在患者的口腔里;
5)、对于某些用传统假牙修复困难或效果不佳的患者,口腔种植牙更具优越性;
6)、不需要活动牙必备的基托和卡环,没有大面积的基托导致的味觉迟钝与不舒适感。