!-->

牙齿脱落后会使牙列出现空缺,吃饭说话都不方便不说,还影响整个人的美观形象,尤其成年人工作压力比较大,每天和客户沟通交流等,如果因牙齿缺失导致其他损失未免得不偿失,因此牙齿意外脱落还希望能引起大家的重视。那么,成年人牙齿掉了怎么办呢?

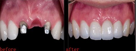
人的一生只有乳牙、恒牙两副牙齿。乳牙在5-12岁会自然脱落被恒牙替换,而恒牙掉一颗则少一颗,不能再生。因此,成年人牙齿脱落后应优先选择种植牙,种植牙因其与天然牙功能、结构以及美观效果十分相似,已经成为越来越多缺牙患者的修复方式,因此被誉为人类的第三副牙齿。牙齿意外脱落可以再植吗?
广州越秀圣贝口腔门诊部介绍:
据调查统计目前国近年种植牙消费数量逐年上升,去年已达5万至6万颗,需求量已经相当大,这也说明了人们日渐了解了种植牙的好处。成年人的恒牙意外脱落无法再生,不仅影响美观、咀嚼不便,还会影响到发音吐字。
针对缺牙修复的种植牙广州越秀圣贝口腔门诊部采用即刻种植系统以突出优点走在世界前沿,高度仿生坚固如真牙,被称为人类的第三副牙齿。

种植牙是什么
种植牙其实是由种植体和种植体支持的上部义齿组成的修复体。通俗地说,种植牙就是通过外科小手术将人工材料制成的种植体植入缺牙区牙槽骨中,替代牙根,然后在上方安上一个牙冠,这样就完成了种牙的全过程。
广州口腔指出:
大多数患者在失去牙齿后一般选择戴义齿,因为人们传统认为戴义齿可以像自然牙一样咀嚼,但事实临床证明,部分义齿的邻牙在几年后受损而被拔掉的例子很多,甚至会导致邻牙受损。