!-->

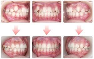
王女士家里的小宝贝已经三岁了,长的很漂亮,可是美中不足的是牙齿有点地包天,王女士不想她长大后被同学嘲笑,也不想因此而影响她一辈子,并想带她尽早矫治,但是周围的人却说应该等到孩子换牙后做矫正。王女士该怎么办呢?儿童地包天矫正的适合年龄是什么时候呢?

广州越秀圣贝口腔门诊部介绍:“地包天”在医学上称为反咬合,表现为下牙咬在上牙的外面。出现反咬合有几个原因:一个是先天因素引起的,如果父母中有一方为反咬合,就极有可能遗传给子女。另一个因素是后天因素引起的,乳儿期不良奶瓶喂养姿势,喂养姿势不对促使孩子下颌前伸够奶瓶,或者孩子躺着吃奶,奶瓶与水平面角度过大。也有的孩子长期有下牙咬上唇的不良习惯造成的。牙齿地包天怎么办?
表示,“地包天”危害甚大
一、“地包天”妨碍颌骨的发育,影响美观。表现为面中部发育不足,从侧面看,面形呈月牙状脸,好似全口牙齿都已脱落后的老太太的面形,严重影响患者的容貌美观,可能造成心理障碍。
二、“地包天”影响咀嚼功能及口腔健康。多数牙“地包天”患者会导致咀嚼功能降低,后牙的咬合功能不能高度发挥。主要表现为进食时间较正常人长,其他人已经吃饱了,而“地包天”患者可能只吃了一半。如果勉强加快进食速度,就会加重胃肠负担,长此下去,将会形成消化系统慢性疾病,影响全身的健康。
称个别牙“地包天”时,前牙咬合交叉错乱,也会妨碍正常功能活动,久之可造成牙齿的不正常磨耗。“地包天”患者也易患颞颌关节疾病。因此,儿童地包天要及时矫正。

儿童正畸什么时候进行合适
强调:正畸的适合时期不是的,因为每个人由于遗传或环境的影响,牙床和牙齿的发育具有很大的个体差异性。比如一般的牙列畸形,女孩大约是在11~13周岁,男孩是在12~14周岁。这一年龄段的儿童,牙颌、牙齿临近发育成熟阶段,牙床还有可塑性,会根据孩子牙齿畸形的具体情况,采取相应的矫治方法,才能取得较佳效果。如果等到成年后,矫正效果就不如以前。
而对某些牙颌畸形的儿童,比如常见的“地包天”畸形,则矫治得越早效果越好,只要孩子能配合,3~5岁就可矫治,此时往往事半功倍。

强调,对于儿童正畸一定要选择正规的医院,正规医院矫正才过关。而目前广州越秀圣贝口腔门诊部连锁牙科连锁医疗机构的各种矫正中,包括美颜正畸、牙套矫正等都是一般正规的。而且为了保证矫正的效果,广州越秀圣贝口腔门诊部连锁牙科还从国外引进了三维精密全瓷系统、美颜正畸系统、数码影像综合治疗床等设备,用正规先进的保证矫正效果和。而且广州越秀圣贝口腔门诊部连锁牙科连锁医疗机构的矫正的经验丰富,矫正精湛,在上保证了牙齿拥挤的矫正效果。