!-->

说起地包天,虽然大家可能见得也比较多,但是很多人对地包天了解却很少。那么儿童地包天究竟是怎么回事?地包天对小孩又有哪些危害?下面就由广州越秀圣贝口腔门诊部对这些问题进行详细的解答。

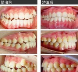
指出:在正常情况下,当上下牙齿咬合时,应该是上前牙咬在下前牙的外面,若相反的话即下前牙咬在上前牙的外面,形成地包天。一般来说地包天主要分为三种类型:牙源性、功能性和骨源性,其骨源性地包天矫正的难度大。儿童地包天矫正的较佳年龄
很多人因为地包天影响他们的面部美观才去矫正,但是地包天的危害不仅影响人们的美观,还有其他的危害。那么地包天对小孩的危害有哪些呢?
一、严地包天重影响患儿的牙颌功能。反颌时由于前牙不能相对,降低了对食物的切割能力;而下颌由于过度前伸,就迫使后牙的咬合关系发生改变,失去正常咬合能力,因而使咀嚼能力降低。
二、影响患者的发音。反颌时由于舌体与所占空间发生改变,上下颌闭合受影响。因此,可能造成发音不清的现象,从而影响了学习与交际。
三、可引起咬合创伤导致牙周疾病的发生。错颌造成的不正常咬合力会给牙周组织造成创伤,并发生牙周疾病。
那么如何矫正小孩地包天?
指出:地包天矫正较佳时间是在3岁到6岁间,在这段时间内用矫正器就有很好的效果,对于儿童地包天矫正来说,隐形牙套矫正是好的方法,但是隐形矫正的价格比较贵。那么我们就来看看为我们介绍的矫正吧!

广州儿童地包天矫正--美颜正畸
圣贝连锁牙科正畸研究中心美颜正畸,在不磨牙,不戴冠的情况下,将韩国微整形美容(颌面外科手术)与数控隐形矫正(牙齿矫正)相结合,在实现健康矫正的同时,利用矫正牙齿过程中的骨移动原理,重新改造面部形态的骨骼群,终实现面部“整形”。
提醒,美颜正畸更适合儿童及青少年牙齿矫正,而对于成年牙齿矫正可用5D美容冠,45分钟即可矫正牙齿。但提醒大家的是,不论是儿童、青少年、成人牙齿矫正,请选择正规的医院进行治疗,避免造成不必要的伤害。

广州儿童地包天矫正,圣贝牙科是你的较佳选择。
广州圣贝牙科是一家经由卫生部门正式批准的正规医疗机构,拥有一个强大的口腔身团队,汇聚了欧美、亚洲等连锁着名的牙科,广州交大、华西、四医大等名校的口腔知名教授,为圣贝医疗质量提供了强有力的保障。在圣贝,连锁牙科与知名学者,国内与自神修复团队形成了良好的无缝对接,在口内、口外、修复、正畸、牙美容、牙种植等方面都颇有造诣。广州越秀圣贝口腔门诊部连锁牙科连锁医疗机构用先进的保障你矫正的效果,用舒适的环境让你治疗更舒心。