!-->

儿童是牙齿拥挤问题的高发群体,因为这个时间段是儿童牙齿发育的重要时期,很多外在因素都会诱发儿童牙齿拥挤。那么儿童牙齿拥挤的表现有哪些?儿童牙齿拥挤怎么矫正?

儿童牙齿拥挤的表现主要在以下几个方面:
1、牙齿拥挤错位,主要表现为牙齿排列不齐,里出外进。明显的例子就是大家通常所说的“虎牙”。广州小孩牙齿拥挤去哪家医院矫正好?
2、暴牙,主要表现为上前牙突出向外翘,明显者嘴唇不能自然闭拢。
3、地包天即牙齿反合,表现为下牙咬合在上牙的外面,有些人仅仅牙齿反颌;有些人不仅牙齿反颌,面部骨骼也畸形,称为骨性反颌,表现为上颌骨发育不足--后缩,下颌骨发育过度--前突,造成面中部凹陷,侧貌为新月形,影响美观和功能。
提醒:牙齿拥挤还会严重影响孩子的成长发育及心理障碍。资料表明,在错牙合畸形的青少年当中,发生心理障碍的比例增高。很多牙齿拥挤的孩子都不爱说话,没有自信。

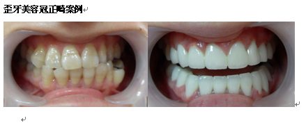
矫正儿童牙齿拥挤,我们建议你选择美颜正畸。
圣贝连锁牙科正畸研究中心美颜正畸,在不磨牙,不戴冠的情况下,将韩国微整形美容(颌面外科手术)与数控隐形矫正(牙齿矫正)相结合,在实现健康矫正的同时,利用矫正牙齿过程中的骨移动原理,重新改造面部形态的骨骼群,终实现面部“整形”。
这一方法矫正儿童牙齿拥挤,既有隐形牙套矫正隐形、快捷、利于口腔清洁的优点,但是价格却更低;而且还比传统的牙套矫正更美观、方便,后期维护简单。因此是一个不可多得的矫正方法。

爱美之心,人皆有之。这里面就包括了儿童。不要仅仅以为爱美是成人或者青少年的事,其实儿童也是爱美人群。而牙齿拥挤不整齐的问题不仅会对儿童的健康形成影响,而且也成为家长们担心的问题之一。因此如果孩子牙齿拥挤建议及早治疗,有利于牙齿更快恢复整齐健康。