!-->

牙齿拥挤是指儿童在生长发育过程中,由先天的遗传因素或后天的环境因素,如疾病、口腔不良习惯、替牙异常等导致的牙齿、颌骨、颅面的畸形。但是相当多的家长并没有对孩子牙齿拥挤的问题引起重视,导致牙齿拥挤越来越严重。为了让大家对孩子牙齿拥挤的危害有更清楚的认识,广州越秀圣贝口腔门诊部连锁牙科连锁医疗机构将为大家进行详细的分析。

小孩牙齿拥挤的危害:
一、影响孩子口腔功能的正常发挥。小孩处于生长发育期,他们对营养的要求一般高,而牙齿拥挤降低了孩子牙齿的咀嚼效率,会影响他们对食物的消化吸收,这对孩子的身体健康是有很大影响的;一些严重的牙齿拥挤,可影响正常的发音及语言表达。儿童牙齿拥挤矫正方法
二、影响孩子牙周组织健康及口腔卫生。牙齿拥挤会使口腔菌斑易于附着,牙刷也难以接触,因此牙龈、牙槽骨易发生炎症,导致牙龈肿胀、出血、口腔异味等症状;久而久之还会累及牙槽骨,出现牙齿松动,对于孩子牙齿的正常生长有很大的影响。
三、影响孩子的颜面部生长发育及美观。牙齿在整个颜面部生长发育中,起着极为重要的作用。通俗地讲,正常发育排列的牙齿,对颌面部高度、深度及宽度的正常生长,有着类似于“支架”的作用。而小孩有牙齿拥挤的问题后,会对他们的外观造成很大的影响。

四、影响孩子的心理健康。由于牙列不齐造成的颜面部形象损害,有时候会受到其他孩子的嘲笑;而且因为牙齿拥挤影响了他们的外观,孩子对自己的形象不自信,长此以往可能导致内向、自卑等问题,对孩子的心理也会产生影响。
因此要想避免这些问题,家长必须对孩子牙齿拥挤的问题引起足够的重视,及时带孩子到医院进行矫正。但是目前矫正小孩牙齿拥挤的方法比较多,各种方法的效果和价格都存在差异,因此很多家长都不知道选择什么方法。那么小孩牙齿拥挤选择什么方法好呢?

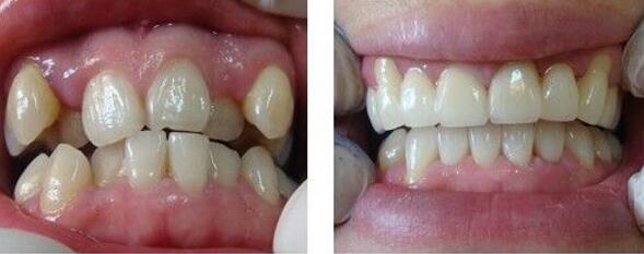
广州越秀圣贝口腔门诊部连锁牙科连锁医疗机构向美颜正畸
圣贝连锁牙科正畸研究中心美颜正畸,在不磨牙,不戴冠的情况下,将韩国微整形美容(颌面外科手术)与数控隐形矫正(牙齿矫正)相结合,在实现健康矫正的同时,利用矫正牙齿过程中的骨移动原理,重新改造面部形态的骨骼群,终实现面部“整形”。