门牙齿碰掉了半颗,我们一般称之为牙齿缺损,对于牙齿缺损,一般要根据门牙缺损的部位和情况大小来决定治疗方案。
补牙修复
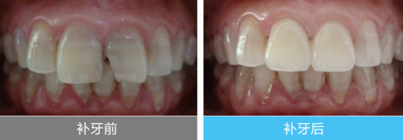
如果门牙掉了半颗,缺损较少,牙齿有明显的冷热刺激痛,但没有损伤到牙神经,就可以简单的就需要用与牙齿颜色相似的复合树脂或者嵌体来进行牙体的修复。

圣贝补牙修复门牙缺损
烤瓷牙修复
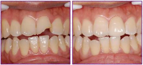
如缺损很大,已接近牙髓腔或牙髓已暴露者,单靠复合树脂已不能修复的,就需要做烤瓷牙冠。在局部麻醉下,去除牙髓组织后,用牙科材料充填根管,在残存的牙冠上装烤瓷牙冠,就能恢复牙齿的美观。

圣贝烤瓷牙修复门牙缺损
美容冠修复
圣贝牙科美容冠,根据牙体的残损状况,通过电脑3D定位后,制作出最为合适的美容冠体,牙齿成形后美观大方,色泽洁白自然,不拔牙安全无痛,不仅能恢复牙齿的美观,同时能恢复牙齿的咀嚼功能。

圣贝美容冠修复门牙缺损
圣贝牙管家温馨提示:由于门牙修复不仅需要考虑功能,还得考虑美观,所以修复门牙一定要去一定要选择正规的口腔医院,才能保证您的牙齿修复安全和效果。
接诊时间:09:00-18:00 节假日不休息
门诊地址:广州市越秀区广州大道中