【患者信息】
化名:玲玲
年龄:28
职业:空姐
牙齿缺陷:牙齿缺损
治疗方案:Cerec5D美容冠
【案例回放】
每当我跟别个说起我的职业,别人都投来羡慕的眼光。可是对作为一名称职的空姐来说拥有美丽的笑容我们比较好的代言。然而,我却在这方面无缘,只要我一笑缺损的牙齿就露出了,让我的笑容凝固了,即使偶尔的微笑,也显得有些拘束,生怕挑剔的乘客发现我的这个小瑕疵,成为笑柄。

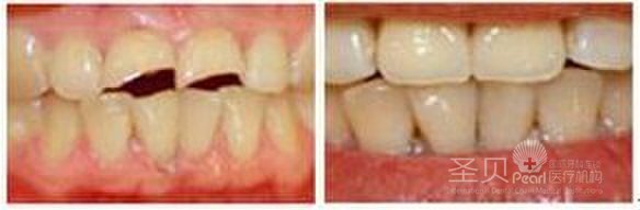
牙齿缺损修复前后对比图
有一次一位很热心的美国乘客告诉我,在他们美国对牙齿的美观是非常看重的,对于一些不整齐不健康的牙齿他们都要去做保健矫正,这个数量已经达到了90%。他还告诉我,他都做了牙齿的,做的就是我们中国这边所说的美容冠,以前他也是由于牙齿不整齐不爱笑,给人一点也没有亲和力。自从矫正后对生活的态度就完全改变了。
这番话让我铭记于心,我当时心想一定要找一家可以做美容冠的医院,把我的牙齿矫正过来。后来在听说广州圣贝牙科医院美容冠做的不错,我当时就立即去核实这件事情。当我了解到,原来就是离我家不远,我立即去了医院,看看是否符合条件。
没想到医生看了我的情况后,说可以的,在短时间类也给我安排了手术。整个手术时间也不长1个小时就能完成。主要是设计和牙齿建模的时候比较费时。
如今的我,我自己都觉得好漂亮,牙齿洁白整齐不说,真的就如老外所说的变得好有亲和力。生活真的不一样了。我真的很感谢圣贝牙科医院,让我可以笑得如此漂亮。
接诊时间:09:00-18:00 节假日不休息
门诊地址:广州市越秀区广州大道中