一个气质再好,长得再漂亮帅气的人,只要长了一口龅牙,气质美貌顿时无用武之地,只要一看到龅牙,形象具毁不说自己心里也会有阴影,爱美是人们的天性,也许别人不在乎,但自己不会不关注,如何才能让自己美丽焕发?

矫正龅牙的方法:
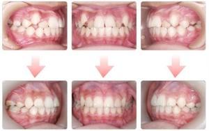
龅牙可以说是常见的牙颌面畸形,临床表现为开唇露齿,自然状态下双唇不能闭拢,微笑时牙龈外露过多,常伴有颏后缩,强迫闭口时,下唇下方与颏部之间有明显的软组织隆起。口内上下前牙唇倾,常伴拥挤不齐,前牙深覆牙合、深覆盖等症状。龅牙矫正
对于未成年人来说,尽早使用牙套矫正是比较快速有效的方法。对于成年人来说,根据个人情况的不同我们一般会选择美牙冠、烤瓷牙等美牙方法,这几种美牙方法矫正时间短、美观舒适,比较适合成人。众多的美牙冠烤瓷牙当中,圣贝连锁医科专家美牙冠。
美牙冠是流行于欧美、日韩的一种新兴牙齿美容,在传统烤瓷牙的基础上强调牙齿的美容效果,对错位牙、畸形牙的临床部分施以多重专业,用美牙冠加以修复。适用于暴牙、虎牙、老鼠牙(个小牙)、地包天、前牙拥挤、前牙稀疏、牙列不齐、牙齿缺损、烤瓷失败、错过矫正黄金期的成年人以及重度四环素牙人群等等。更值得一提的是,使用3D美牙冠仅需要一小时就可以让您的牙齿180°大转变。
品牌圣贝 经典传承
圣贝连锁医科源自圣手仁心 ,作为一家连锁化牙科连锁的典范,圣贝牙科带来了世界先进的牙科设备和。依托种植牙品牌,前沿的及经验丰富的医生,圣贝能够根据患者不同口腔情况,结合亚洲人独有的骨骼、骨量、骨密度以及可媲美连锁牙科的设备,以出血少、无肿痛、手术快、等特点独树一帜。
圣贝连锁医科,与您相约广州,为广州的爱牙者带来福音。欢迎咨询广州越秀圣贝口腔门诊部连锁医科。点击在线咨询,我们的专家会让您了解您想了解的。
接诊时间:09:00-18:00 节假日不休息
门诊地址:广州市越秀区广州大道中