Cerec5D美容冠解决你的龅牙问题

【患者信息】

化名:晓洁

年龄:21

牙齿缺陷:中度龅牙
       主治医师:熊飞

治疗方案:Cerec5D美容冠

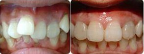
【案例回放】
        
晓洁今年21岁,由于家境贫困,前年她高中一毕业就和父母一起打工了。晓洁在一家鞋厂上班,这两年经济不景气,工资一直不高,工作又累,有时候一天工作超过10小时,她也尝试换一换工作,她的愿望是能在市区找一定公司,做文秘,虽说她只是高中文凭,但是平时也会看一些相关的书籍,希望有机会能够找到一份满意的工作。可是,当晓洁想到自己的牙齿的时候,轻度的龅牙x,一切的美梦瞬间幻化成泡影......龅牙一直是晓洁的心病,尽管自己是出来打工的,可是也知道形象很重要的,很多时候也是不愿意跟同事交谈,下班之后也是一个人看书,独立享受书本带来的乐趣。可是在内心深处,晓洁更希望自己能够走出屋门,和同事、朋友玩耍,可是龅牙真是害苦了她!
       时间长了,晓洁终还是决定能够改变现在的自己,多方打听下,找到了广州越秀圣贝口腔门诊部连锁牙科连锁医疗机构。晓洁的主治医师了解了晓洁的情况,为她做了一个的全面的口腔检查,发现晓洁在口腔清洁方面还是做的很好,没有严重的牙周炎等问题,这对后期的矫正是一般有利的。医生终在征求了晓洁意见的基础上,建议晓洁可以选择cerec5D美容冠系统,适应了更多年轻男女对美的需求。
       术后,晓洁也愿意和朋友一起玩了,也通过自己的努力找到了满意的工作。
姓名不能为空
电话不能为空
牙齿问题不能为空

接诊时间:09:00-18:00 节假日不休息

门诊地址:广州市越秀区广州大道中