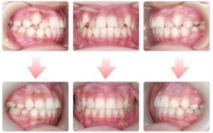
去年在网络上风靡一时的“龅牙哥”为何如此火,是因为他能给人带来喜感。龅牙一般表现为牙齿前突, 龅牙无疑会带来许多困扰,这时可以通过牙齿矫正,还您一口健康美丽的整齐牙。但矫正龅牙不是件简单的事儿,它需要注意许多细节问题。那么龅牙矫正要注意哪些事项呢?下面广州越秀圣贝口腔门诊部专家为您做详细的解答。

龅牙矫正要注意哪些事项呢
1、戴上矫正器之后,会妨碍刷牙,如果牙齿刷得不好,牙齿间残留有食物,则细菌大量繁殖会造成龋齿或牙周组织炎症,破坏整个疗程,因此,牙齿矫正后护理牙齿理想的方法当然是能够每餐饭后都刷牙。若餐后刷牙不方便,可用水或茶水漱口。龅牙的几种矫治方法
2、儿童牙齿矫正时,除了上述要注意的事项外,要减少吃零食和糖果的数量,尤其是口香糖,因为口香糖黏着于矫正器上,则难以清除。
3、在青少年牙齿矫正过程中,父母要特别注意督促小孩遵守医生的嘱咐,如定期到医院检查、更换钢丝、戴橡皮圈等。否则,矫正的过程延长,同时也不能达到理想的矫正效果。
4、龅牙矫正期间,除遵守医生的指示,还要小心护理牙齿上的矫正器,应避免吃质地较硬的食物,如骨类食物、蟹、坚果类等,还要避免吃大块的食物。将食物化大为小的做法,可以防止因饮食不当致矫正器的附件松脱,从而使整个牙齿矫正过程能顺利完成。此外,还得特别小心护理牙齿。在人体口腔中有正常的寄生菌,空气中也有大量的微生物存在,口腔经常与外界“接触”。
Cerec5D 齿科高铁 45分钟搞定美容冠
cerec5D被誉为“齿科中的高铁”,传统的牙齿美容修复,至少需要一周的时间,西诺德Cerec 3D齿雕、4D齿雕机器人提速至1小时,Cerec 5D如今只要45分钟即可一次性搞定。黄牙、黑牙、龅牙、畸形牙、四环素牙……从此去无踪。
而生产Cerec5D的西诺德公司源自西门子,是世界上的牙科设备巨人,所有设备均获得美国FDA及欧洲CE权威认证及连锁知名医学专家认可。西诺德也因此与美国名列,成为世界上的美容系统专家,在欧美,用Cerec5D进行牙美容已成政界人士、社会名流、中产阶层趋之若婺的新时尚。
接诊时间:09:00-18:00 节假日不休息
门诊地址:广州市越秀区广州大道中