广州越秀圣贝口腔门诊部专家介绍,“龅牙”在医学专业上实质是上颌前突畸形或双颌前突畸形,不但影响牙齿的咬合情况,还一般影响美观,一般患者求治的目的主要是为了改善容貌,但是也有部分人因为习惯了,就不是很在乎,其实牙齿不齐会逐渐改变牙齿的咬合情况的,所以建议及时就诊。下面专家就来为大家详细介绍。

龅牙会给我们带来什么烦恼?
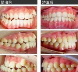
龅牙也称作龅牙,是一种容貌特征。也叫上下颌前突,鸟嘴畸形,突颌畸形等。是指上下门齿及上下颌骨向前突出,放松状态下上下唇多不能自然闭合,笑时牙龈大量外露。从正面观察开唇露齿,鼻唇沟较深,从侧面观察面部轮廓线于唇部过分向前突出,形成">"形外观。严重者因牙齿长期暴露而出现变黑、变黄甚至干裂。广州做龅牙矫正价格要多少钱?
这一特征多认为与遗传和先天因素有关,但儿童期不显性,青少年期开始表现,随着生长发育逐渐明显,成年期基本稳定,中年后由于软组织和萎缩前突往往更加显著。
龅牙是一种常见的牙颌畸形,常常表现为开唇露齿,自然状态下双唇不能闭拢,微笑时牙龈外露过多,影响面部的整体协调美。
美颜正畸,龅牙矫正治疗的有效方法
圣贝连锁牙科正畸研究中心美颜正畸,在不磨牙,不戴冠的情况下,将韩国微整形美容(颌面外科手术)与数控隐形矫正(牙齿矫正)相结合,在实现健康矫正的同时,利用矫正牙齿过程中的骨移动原理,重新改造面部形态的骨骼群,终实现面部“整形”。
圣贝连锁牙科连锁医疗机构运用美颜正畸在牙齿矫正过程中,全程可视化,使矫正后的牙齿高度保持在同一水平面,与唇珠点、口角点正中点完美结合。通过制作科学精细的牙齿较正过程,结合面部结构、脸型特征等因素,以保证达到理想的牙齿矫正效果。
接诊时间:09:00-18:00 节假日不休息
门诊地址:广州市越秀区广州大道中