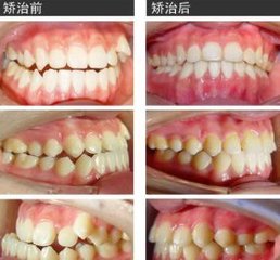
广州做龅牙矫正价格要多少钱?都说美丽是行走世界的通行证,但残酷的现实总让人们难以释怀。龅牙是每一个患者的噩梦,没有哪个患者不为这个牙齿病症所烦恼,做牙齿矫正是势在必行的事情。下面广州越秀圣贝口腔门诊部专家就来为大家详细介绍。

那么在广州做龅牙矫正会很贵吗?
专家介绍:龅牙做牙齿矫正的方法有许多种,传统牙齿矫正、隐形牙齿矫正、美牙冠矫正等,不同的矫正方法价格收费肯定是不同的,所以龅牙朋友们应该选择适合自己的方法。龅牙矫正的较佳时间
1、龅牙矫正的方法:所选用的牙齿矫正的方法,不同的方法,价格是不一样的,现阶段,新适用的牙齿矫正方法是隐形牙齿矫正方法,隐形矫正相对来说应用的也比较多,可以满足成人对矫治器美观要求,不影响工作、社交。
2、矫正时间的长短:对于成年人来说正畸时间要比青少年牙齿矫正时间要长,价格自然便宜;若是成人牙齿矫正,一般牙齿矫正价格比较高,要视情况而定!
3、口腔条件:这是影响矫正进度的又一因素,很多患者因为存在着严重的口腔问题,势必要在接受口腔矫正之前将口腔问题解决。
美颜正畸,龅牙矫正治疗的有效方法
圣贝连锁牙科正畸研究中心美颜正畸,在不磨牙,不戴冠的情况下,将韩国微整形美容(颌面外科手术)与数控隐形矫正(牙齿矫正)相结合,在实现健康矫正的同时,利用矫正牙齿过程中的骨移动原理,重新改造面部形态的骨骼群,终实现面部“整形”。
圣贝连锁牙科连锁医疗机构运用美颜正畸在牙齿矫正过程中,全程可视化,使矫正后的牙齿高度保持在同一水平面,与唇珠点、口角点正中点完美结合。通过制作科学精细的牙齿较正过程,结合面部结构、脸型特征等因素,以保证达到理想的牙齿矫正效果。
接诊时间:09:00-18:00 节假日不休息
门诊地址:广州市越秀区广州大道中