!-->

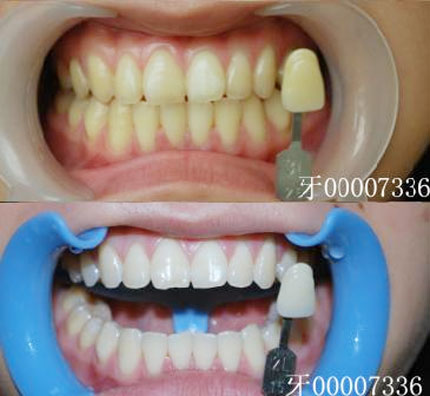
据调查显示,我国是大的卷烟生产国和消费国,吸烟人数占世界吸烟者总数的近30%,居世界。来自的牙科介绍,吸烟不仅仅有害身体健康,还会给人们的生活带来一定影响。比如,吸烟导致牙齿发黄。牙齿是个人形象的门面,一口黄黄的牙齿会严重影响个人形象,不利于人们的交际应酬。那么,抽烟导致牙黄怎么办?

抽烟导致的牙齿发黄被称作牙齿外源性着色,对此有多种方法可以解决:
1、洗牙:洗牙是一种口腔保健方法,它不仅能清除牙齿上的牙垢,对于牙齿上附着的色素也有不错的效果。并且洗牙还能有效预防口腔疾病,但是洗牙的效果不持久。
2、冷光美白:冷光美白是一种专业的牙齿美白方法,美白牙齿效果极佳,能够有效去除牙齿表面的各种附着色,采用亲水性物,不会给牙齿造成损伤,且效果持久。
3、美容冠:美容冠是目前流行的牙齿美容方法之一,它不仅能美白牙齿,还能修复牙齿问题,让您拥有明星般美丽笑容。且美容冠的适应范围广,治疗时间短,效果更佳完美持久。广州哪里做美容冠好
广州牙齿美白哪里好——品牌“圣贝牙科”
广州越秀圣贝口腔门诊部口腔是一家连锁医院,源自品牌“圣贝牙科”,专注牙科疾病的探索研究,在口内、口外、修复、正畸、牙美容、牙种植等方面都颇有造诣,致力打造“您专属的私人牙医”,是您美白牙齿的较佳选择。广州越秀圣贝口腔门诊部在发展中早已拥有一个强大的口腔团队,汇聚了欧美、亚洲等连锁著名的牙科,广州交大、华西、四医大等名校的口腔知名教授,为圣贝医疗质量提供了强有力的保障。