!-->

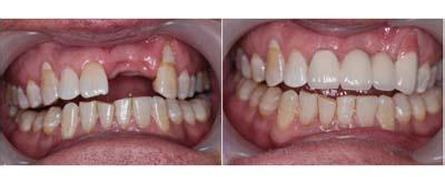
牙齿受到不可恢复的伤害后,通常只能拔牙。很多人在拔牙后会感到不习惯,所以想尽早的镶牙,但并不是拔牙之后就能立刻进行镶牙手术。那么,广州拔牙后多久可以镶牙呢?

广州越秀圣贝口腔门诊部介绍说:一般而言,拔牙后需要等待2—3个月才能进行镶牙。但并不是所有的顾客都是这样,具体的等待时间还和顾客朋友选择的镶牙修复方式有关。>>>预约牙管家更清楚
1、活动义齿:通常拔牙后的3个月左右就可以安装活动义齿了,如牙根很短,甚至在拔牙后1个月左右就能够镶牙。
2、固定义齿:和活动义齿一样,拔牙后2—3个月就可以镶牙了。此时牙槽窝已基本长平,牙槽骨吸收变得缓慢,对固定义齿修复效果的影响较小。
3、种植牙:一般来讲,只要牙槽骨条件允许就可以做种植牙了,一般是3—6个月左右。此刻创口内充溢重生的织造骨,种植操作简略。
4、圣贝种植:这种方法是在拔牙后在短时间内植入种植体,主要用于门牙修复,其较佳状况是:外伤性根折、各种缘由形成的牙根吸收等情况。
【提示】牙齿缺失修复一定要选择一家正规专业的医院,因为只有这样才能给患者带来专业的治疗。在此我们您选择——广州越秀圣贝口腔门诊部。