!-->

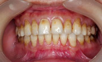
氟斑牙是一种常见的口腔疾病,往往会导致牙齿变色发黄,严重影响一个人的形象,给人们的生活带来一定影响,因此一定要及时治疗。那么氟斑牙该如何治疗呢?

广州越秀圣贝口腔门诊部表示:氟斑牙有多种治疗方法,如炫彩美白、美容冠等,但具体需要根据患者的病情程度决定:>>>预约牙管家更清楚家
轻中度氟斑牙的治疗方法
炫彩美白:炫彩美白是目前先进的牙美白,可以深层美白牙齿,效果良好。操作过程需三十分钟左右,操作过程舒适,护理得当可达5年。>>>炫彩美白真的好吗?点击预约牙管家
重度氟斑牙的治疗方法
圣贝微贴面:亲贝微贴面经先进烧结而成,更胜传统瓷贴面,是较佳的一体化预制瓷块。微贴面制作工艺精细,让修复的牙齿与真牙无异,疗程快捷方便,使用寿命长达几十年,是美白氟斑牙的好方法。【阅读:广州治疗氟斑牙哪里好?】
圣贝美容冠:圣贝美容冠是源自的牙齿修复美白,其性能更佳强大,优于烤瓷牙和传统美容冠,可与天然牙齿媲美,对人无害,是美白氟斑牙的良好方式。并且其原材料均系国外引进,全国联保,提供终生维护。>>>治疗氟斑牙的费用是多少?点击预约牙管家
广州越秀圣贝口腔门诊部隶属牙科医疗连锁品牌“圣贝牙科”旗下,在中国北京、广州、广州、成都等地设有分店,汇集了国内多所院校的口腔。实现一店看牙、全国联保、终生服务的连锁体系,让患者在不同城市都能充分享受圣贝优牙服务!