!-->

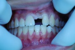
牙齿缺失不仅会影响人们的形象美观,而且还会降低咀嚼功能,影响身体健康,严重的还会造成其他口腔疾病。因此我们在生活中应该积极护理口腔,多加了解牙齿缺失的病因,防止牙齿缺失。那么,导致牙齿缺失的具体原因有哪些呢?

【牙齿缺失的原因】
1、年龄增长:随着年龄的增长、牙龈、牙槽骨等牙周组织发生生理性退变、牙龈萎缩,牙槽骨进行性吸收,导致牙齿脱落。>>>预约牙管家更清楚
2、牙周病:患牙周病后,牙周组织逐渐破坏、形成牙周袋、牙槽骨吸收、牙齿松动、脱落或被拔除,导致牙齿缺失的主要原因。
3、龋病:患龋病时,牙体的破坏由浅变深,若不及时治疗,患牙可出现松动、触疼、终因损坏严重无法治疗而被拔除。
4、外伤:前牙或后牙均可因受伤而折断或脱落。外伤严重者还可伴有颌骨、牙槽骨、软组织的缺损。【阅读:牙齿缺失以后怎么办?】
【提示】导致牙齿缺失的原因有许多,因此我们在平时应该积极预防,并养成良好的口腔习惯,定期去看牙、洗牙,做到早发现、早治疗,如此可以尽可能的保护口腔,防止牙齿缺失。

【广州越秀圣贝口腔门诊部-您的德式牙管家】
广州越秀圣贝口腔门诊部口腔是卫生部认证的全国连锁牙科机构,源自知名牙科品牌“圣贝牙科”,致力于打造“您专属的私人牙医”,是您治疗、预防和保健口腔的较佳选择!同时医院引进了一系列的先进牙科设备,如种植牙、5D美容冠、治疗系统等,保证治疗有效。并承诺一店看牙、全国联保、终生服务,让您再无后顾之忧!