!-->

牙齿伴随人们一生,不仅承担着咀嚼功能,还有着支撑面容、帮助消化等功能。牙齿一旦缺失,不仅会影响美观,同时对人们的身体健康也有极大的影响,因此牙齿缺失一定要及时修复。那么牙齿缺失究竟有哪些危害呢?

【牙齿缺失的危害】
1、影响美观:牙齿缺失会造成面部变形,脸型在人体美中占有重要的位置。多数人只知道眼睛对人的外貌很重要,却不知道,脸型的美观与谐调,是由完整的牙列来维持的。>>>牙齿缺失修复多少钱?点击预约
2、牙槽骨萎缩:牙缺失后正常咬颌力对牙槽骨的生理性刺激将不复存在,牙槽骨均会出现不同程度的废用性萎缩,并且会给后期假牙修复及维持口腔颌面部的平衡和稳定带来巨大困难。>>>牙槽骨萎缩怎么办!点击预约
3、咀嚼功能减退:牙齿缺失后,余留牙齿发生了一系列变化,使原本良好的咬颌关系发生变化,由于余留牙之间有效功能面积相应减少,咀嚼效能降低。>>>牙齿缺失怎么修复!点击预约
4、食物嵌塞:正常牙齿与牙齿之间,排列得十分紧密,邻近的牙齿移动后,牙齿与牙齿会出现缝隙,容易使食物嵌塞到牙齿间隙里,引起口腔疾病,如口臭、龋齿、牙周病等。【阅读:多颗牙齿缺失如何修复好】
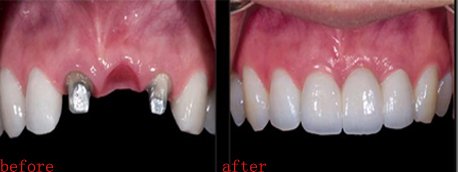
【提示】由于牙齿缺失对我们的健康有着极大的危害,因此我们一定要及时到正规专业的医院修复。在此我们您选择——广州越秀圣贝口腔门诊部口腔。
【广州越秀圣贝口腔门诊部-您的德式牙管家】
广州越秀圣贝口腔门诊部口腔是卫生部认证的全国连锁牙科机构,源自知名牙科品牌“圣贝牙科”。医院引进了一系列的先进牙科修复设备,如种植牙、5D美容冠、治疗系统等,保证治疗有效。并承诺一店看牙、全国联保、终生服务,让您再无后顾之忧!