!-->

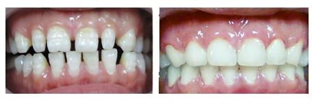
生活中牙齿稀疏较为常见,不仅吃东西的时候会出现塞牙的情况,而且还容易影响口腔的健康,给生活带来诸多不便。有不少家长反映,自己的孩子也有牙齿稀疏的情况。那么,儿童牙齿稀疏该怎么办呢?

【儿童常见的牙齿稀疏怎么办?】
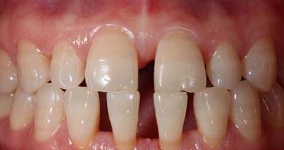
1、儿童的替牙时期(常见于6一9岁之间),乳牙稀疏有缝叫生理间隙,是暂时性的,对于较大的恒牙萌出后排齐是有利的,在牙齿替换完成并建立了新的咬合关系后,多可恢复正常。>>>预约牙管家更清楚
2、替牙时,两个上门牙间有缝隙,这是替牙过程中的一种暂时现象。随着恒侧切牙、尖牙的萌出,间隙逐渐减小到完全自然消失但是当上门牙间的缝隙较大时,需要请检查是否有多生牙存在。
3、恒牙的稀疏有缝,一种是恒牙的形态较小如锥形牙或过小牙,另一种是恒牙有先天性缺牙。这两种牙齿稀疏属于病理性情况,需要到正规专业的医院治疗。【阅读:牙齿稀疏的矫正方法】
【提示】儿童牙齿稀疏需要根据其产生的原因在确定合适的治疗方法,因为儿童牙齿稀疏一定要及时到正规专业的医院检查治疗。在此我们您选择——广州越秀圣贝口腔门诊部。
广州越秀圣贝口腔门诊部口腔源自品牌“圣贝牙科”,拥有一个强大的口腔团队,汇聚了欧美、亚洲等连锁著名的牙科,广州交大、华西、四医大等名校的口腔知名教授。圣贝牙科严格遵守卫生部对于口腔准入制度的所有要求,认真贯彻执行 ISO9001:2000质量管理体系的核心框架,符合连锁“五大标准体系”,确保消费者的合法权益。