!-->

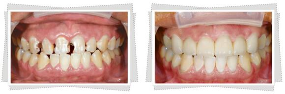
牙齿缺损比较常见,但很多人认为牙齿缺损是小瑕疵对牙齿没有多大影响。其实不然,随着时间的增长,缺损会越来越大,严重时会伤及牙髓。那么牙齿缺损怎么办呢?

广州越秀圣贝口腔门诊部介绍:牙齿缺损一定牙及时到正规专业的医院检查治疗,目前牙齿缺损有多种修复方法,比如美容冠、烤瓷牙、瓷贴面等,详情如下:>>>预约牙管家更清楚
一、美容冠:美容冠是新兴的流行牙齿修复,修复的牙齿与真牙相近,具有美牙不拔牙,苦,时间短,牙齿坚固,多年后牙龈不会出现黑线等优点,是明星美牙的首要选择。
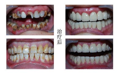
二、烤瓷牙:烤瓷牙可以恢复牙齿缺损并具有美观效果的修复牙冠,钴铬合金、纯钛、铸瓷、全瓷、贵金属等不同的种类,生物相容性好,对人体无害,形态逼真,是理想的假牙材料。
三、瓷贴面:瓷贴面美观程度高,生物相容性好,参透性强,而且没有副作用磨牙量相对烤瓷牙大大减少,适合用于前牙的修复。【阅读:牙齿缺损什么时候修复好】
【提示】不同的修复方法其效果、美观程度以及适应症等都有所差别,因此患者需要根据自身情况选择。值得注意的是,牙齿修复一定要选择一个正规专业的医院,只有如此方可保证其治果。在此我们您选择——广州越秀圣贝口腔门诊部。
广州越秀圣贝口腔门诊部是卫生厅认证的牙科机构,在牙齿缺损修复方面拥有诸多先进,如5D美容冠、亲贝微贴面等,并且医院常年聘请的是拥有十多二十年行医经验的主治以上坐诊,保障治疗有效!同时医院承诺一店看牙、全国联保、终生服务,让您在无后顾之忧!