!-->

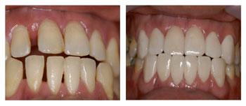
美容冠是目前理想的牙齿美容修复,在国内十分流行,很多患者都希望选择美容冠修复牙齿。因此美容冠的价格也就受到很多患者的关注,那么广州做牙齿美容冠修复多少钱?

广州越秀圣贝口腔门诊部介绍:一般来说,美容冠修复的价格是难以确定的。因为美容冠的价格与多种因素有关,容易受到其他因素影响,所以难以统一而定。 >>>预约牙管家更清楚
【影响美容冠价格的因素】
1、品质材料:美容冠有进口和国产之分,在性能和效果上有较大区别,不同的材质,其性能、生物相容性、美观性等都有很大区别,因此价格也就不同。
2、牙齿基础条件:美容冠价格与牙齿基础条件有关,不同患者由于牙齿病变的情况不同,其治疗措施自然也有差别,因此会对治疗费用造成一定影响。
3、医院选择:不同的医院收费标准、运用的、设备、材料以及选择的等都有一定不同,因此美容冠的价格也会不一样。【阅读:哪些牙齿不适合做美容冠】
【提示】我们之所以选择美容冠是为了其修复效果和美观,因此美容冠的价格是其次的,而美容冠的和效果才是我们应该重视的。由于美容冠对的以及医院的设备材料等有着极高的要求,因此只有选择一家正规专业的医院才能保证其和效果。在此我们您选择——广州越秀圣贝口腔门诊部。
广州越秀圣贝口腔门诊部口腔是一家连锁医院,采用的是自引进的5D美容冠,全面强力升级传统美容冠,引进全新的牙美容,采用连锁仿生材料,效果美观自然,坚固耐用。并且常年聘请的拥有十多二十年以上行医经验的坐诊,保证治疗的。同时医院承诺一店看牙、全国联保、终生服务,让您再无后顾之忧!