!-->

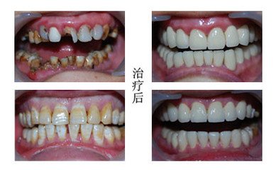
很多人都羡慕明星有一口整齐,洁白的牙齿,但他们其中绝大部分的人都是经过烤瓷牙美容的。烤瓷牙是目前一种接近天然色的牙齿修复方式,为此,不少人纷纷把烤瓷牙作为一种时尚。那么哪些人适合做烤瓷牙呢?听听广州越秀圣贝口腔门诊部口腔牙科怎么说。

圣贝口腔介绍,临床中有很多人强烈要求做烤瓷牙,但并非所有人都可以做,有口腔疾病者应选择适合自己的方法。烤瓷牙能使用多久
【适应症】
牙列不齐有不宜做正畸治疗的患者,可考虑做烤瓷牙修复。
牙齿颜色或形态不佳,如四环素牙,锥形牙可进行烤瓷牙修复。
因龋齿等原因牙齿缺损较大,牙齿变色,可通过烤瓷牙恢复美观及功能。
牙齿缺失,而且缺失的较少,邻牙健康,没有炎症或虽有但经过治疗已得到控制,经检查后可进行烤瓷牙修复。
因外伤折段的牙齿或残留的牙根,如牙根有足够的长度,牙周情况又较好时,经过完善的根管治疗,可进行烤瓷牙修复。 >>>点击在线预约牙管家
【烤瓷牙优势】
1、良好的边缘封闭性
2、良好的生物相容性
3、极高的强度
4、保护牙体硬组织和牙髓
【烤瓷牙种类】
1、不锈钢烤瓷冠
2、钛合金、纯钛烤瓷冠
3、贵(重)金属烤瓷冠
4、氧化铝全瓷、铸造陶瓷冠
计算机全瓷
提醒:
做烤瓷牙修复的时候,我们需要根据自身情况选择适合自己的材料,不管好坏,只要适合自己就是好的。如果您对此烤瓷牙种类还有什么疑问可以点击在线进行预约。

烤瓷牙要选择专业的医院
广州越秀圣贝口腔门诊部口腔是品牌连锁机构,始于圣手仁心,其主品牌圣贝牙科经法兰西萌牙、普鲁士生根、化浪潮,成为的知名牙科连锁。圣贝连锁牙科连锁医疗机构强势整合国内外牙科资源,拥有“五大核心”,在行业内率先将灭菌消毒提升至16层,成为连锁牙科医疗标准在中国的首航者。